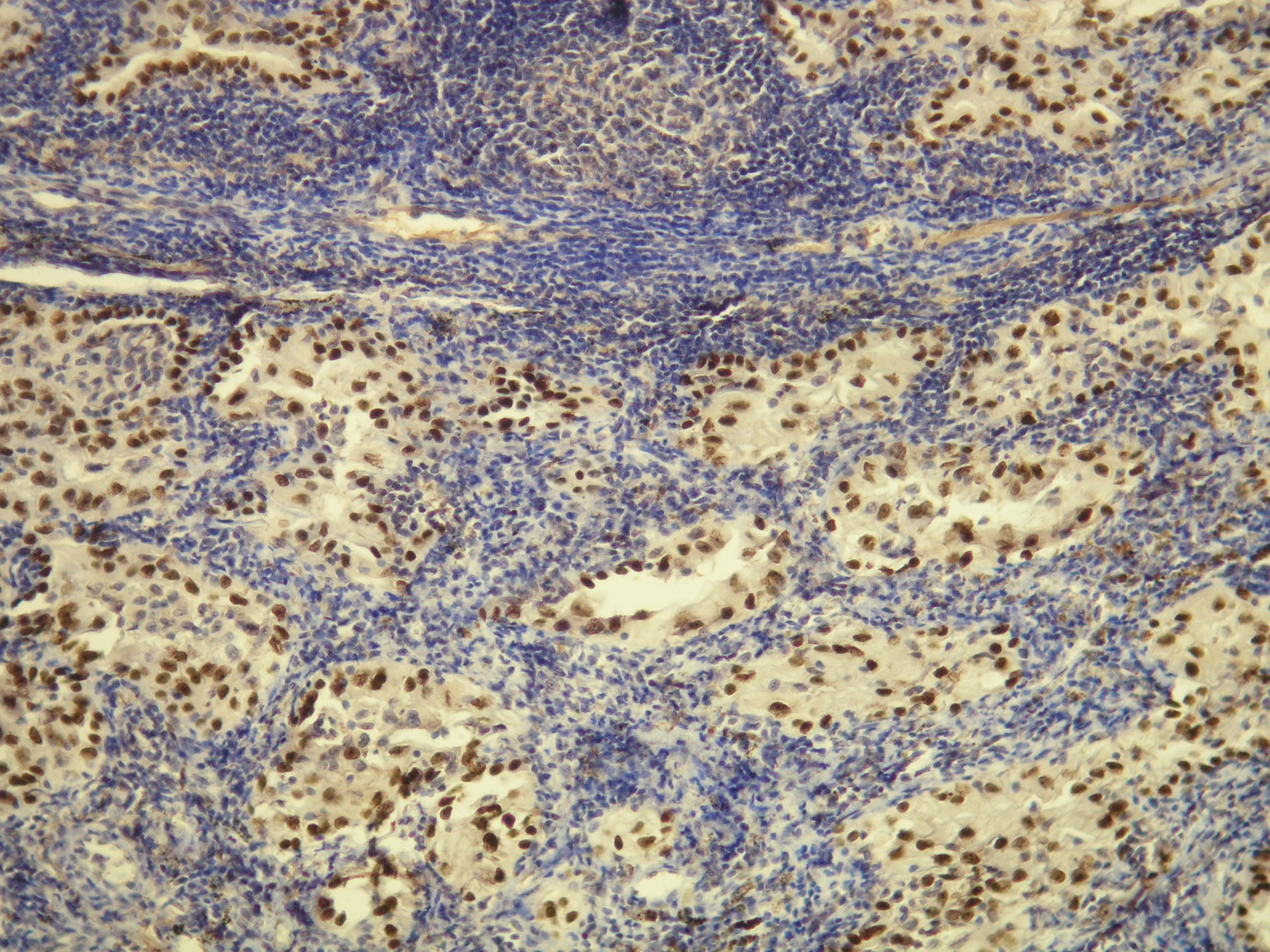
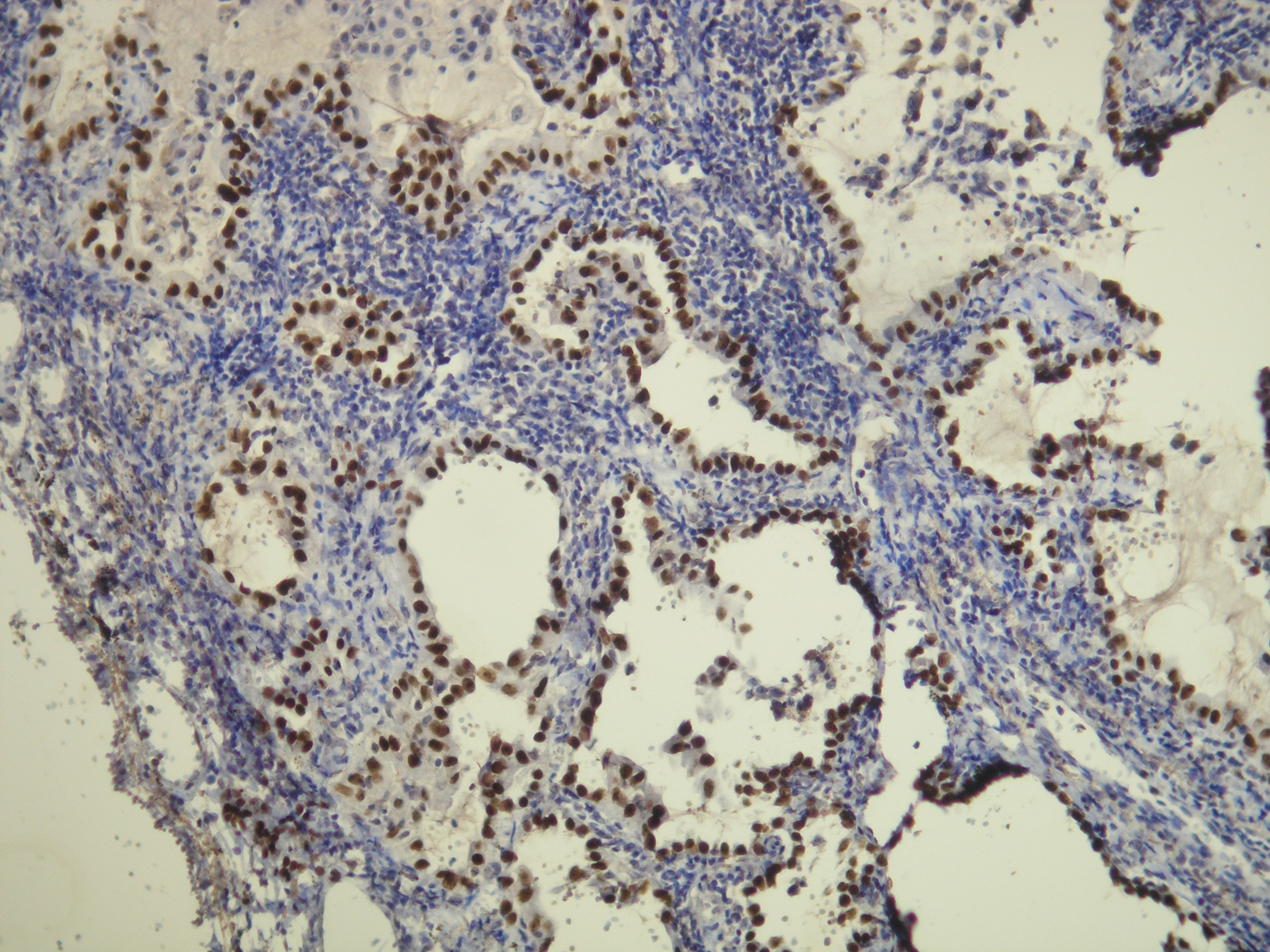
Anti-TTF-1

Králičia klonálna protilátka

Kód produktu:DB 089 Kategória:IHC-P
Dokumenty:Datasheet

Publikácie

Informácie pre predaj

Katalógové číslo Objem Poznámka
DB 089-0.1 100 μl
DB 089-0.2 200 μl
DB 089-0.5 500 μl
DB 089-1 1 ml
DB 089-RTU-7 7 ml protilátka pripravená na použitie
DB 089-RTU-15 15 ml protilátka pripravená na použitie

Technické informácie

Klon

G21-G

Pufor

20mM Tris-HCl, pH 8.0

Stabilizér

20mg/ml BSA

Číslo proteínu

P43699

Prezervatív

0.05% NaN3

Špecificita

ľudský antigén

Imunogén

Peptid derivovaný z N konca ľudského TTF-1 proteínu. Protilátka rozpoznáva epitop umiestnený medzi Leu97 - Gly110.

Aplikácia

IHC-P, riedenie 1:100

Galéria

db089a db089b db089c