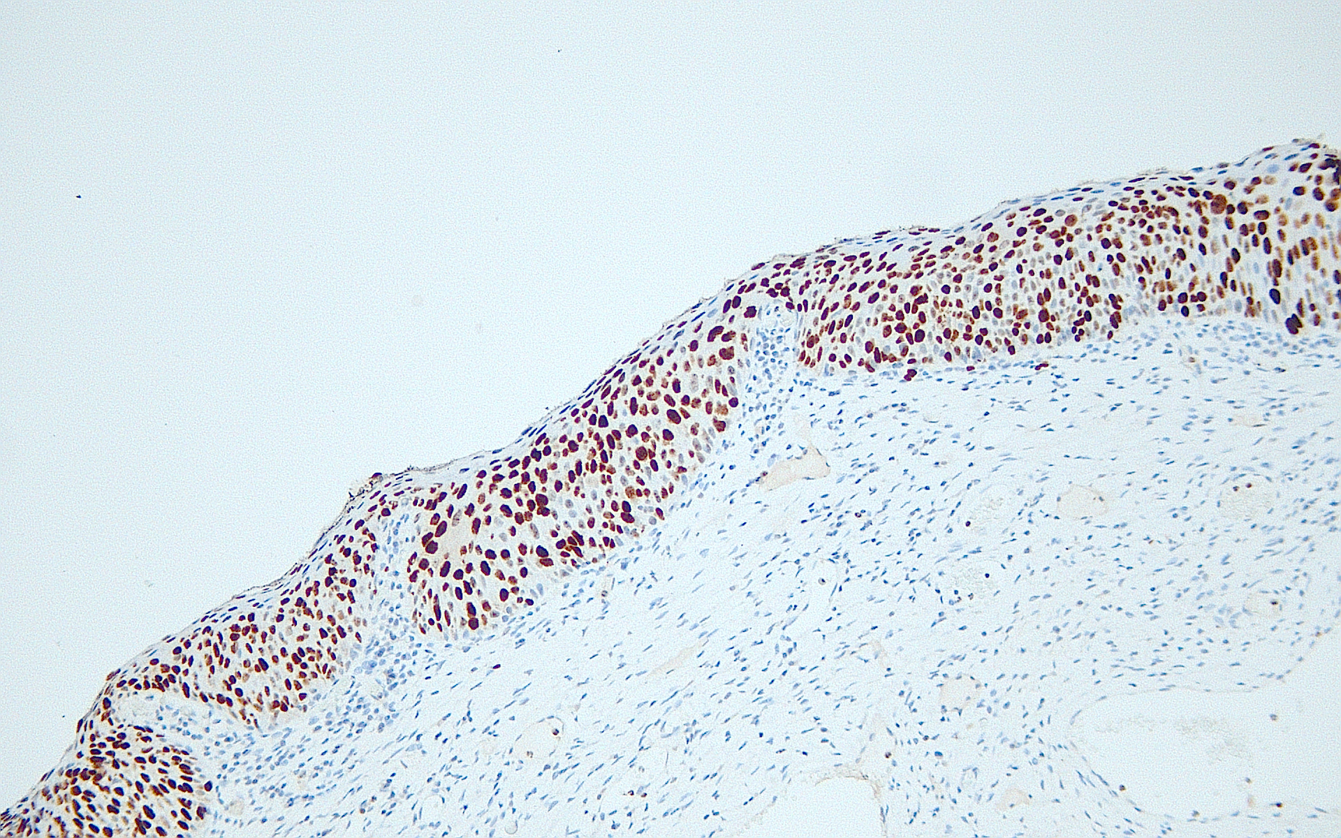
Anti-Ki-67

Králičia klonálna protilátka

Kód produktu:DB 318 Kategória:IHC-P
Dokumenty:Datasheet

Informácie pre predaj

Katalógové číslo Objem Poznámka
DB 318-RTU-7 7 ml
DB 318-RTU-15 15 ml
DB 318-1 1 ml
DB 318-0.5 500 μl
DB 318-0.2 200 μl
DB 318-0.1 100 μl

Technické informácie

Klon

M17-I

Pufor

20 mM Tris-HCl, pH 8.0

Stabilizér

20 mg/ml BSA

Číslo proteínu

P46013

Prezervatív

0.05% NaN3

Špecificita

Human

Imunogén

Syntetický peptid odvodený z N-koncovej sekvencie ľudského Ki-67. Presná imunogénna sekvencia je komerčne senzitívna informácia.

Aplikácia

IHC-P, dilution 1:100

Galéria

DB-318-Ventanapng DB-318-Leicapng