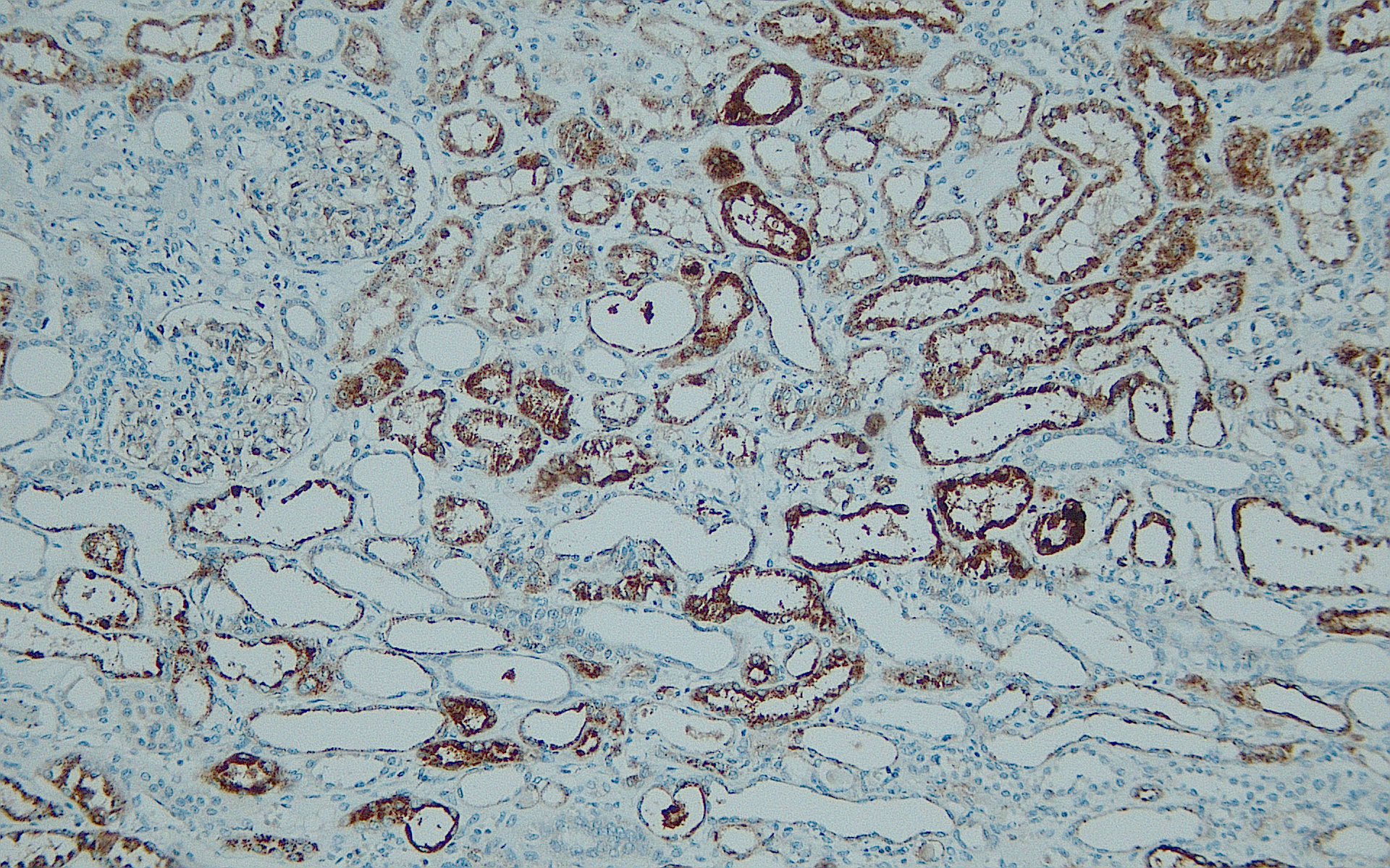
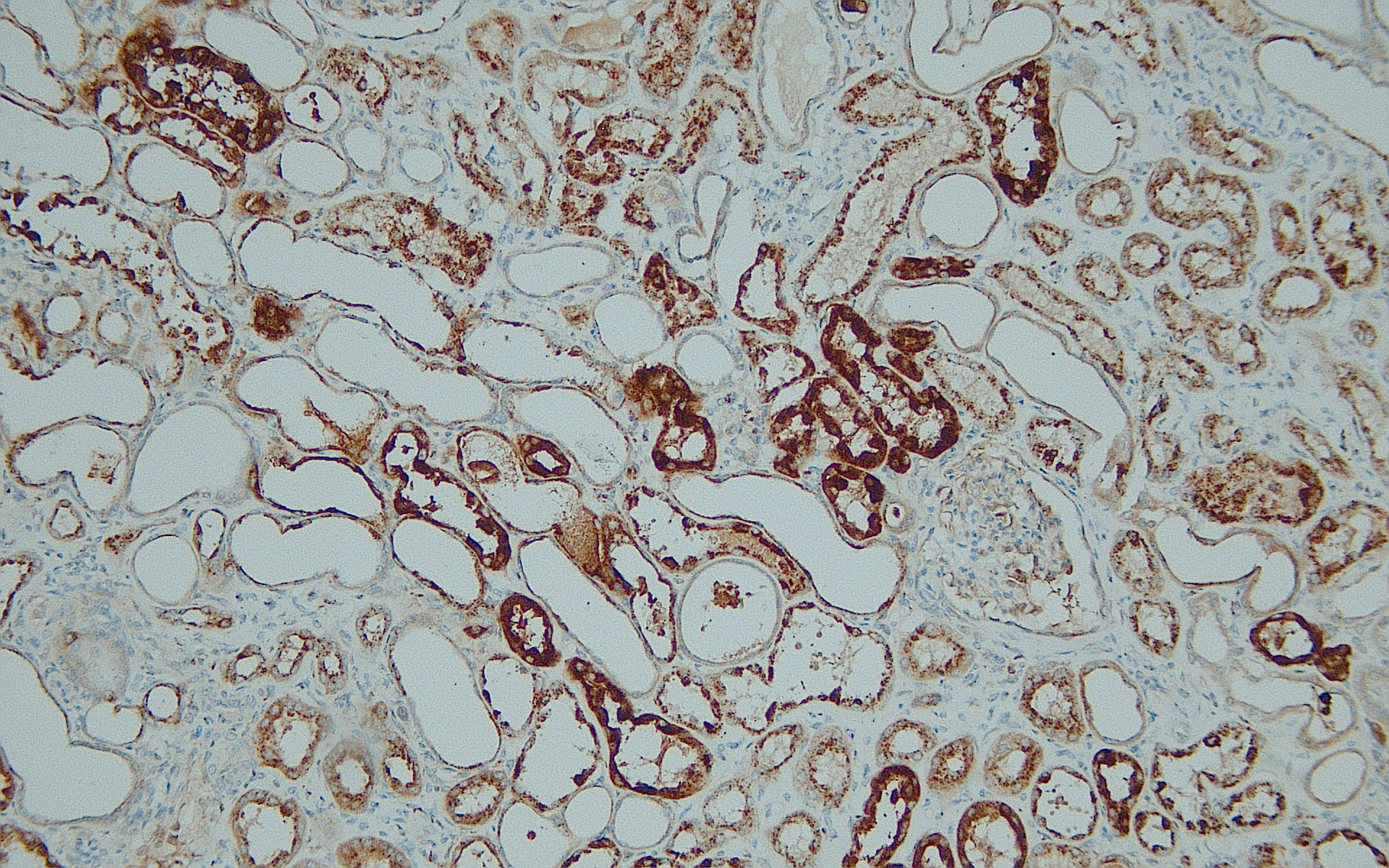
Anti-Napsin A

Králičia klonálna protilátka

Kód produktu:DB 262 Kategória:IHC-P
Dokumenty:Datasheet

Informácie pre predaj

Katalógové číslo Objem Poznámka
DB 262-0.1 100 μl
DB 262-0.2 200 μl
DB 262-0.5 500 μl
DB 262-1 1 ml
DB 262-RTU-7 7 ml
DB 262-RTU-15 15 ml

Technické informácie

Klon

L23-Q

Pufor

20 mM Tris-HCl, pH 8.0

Stabilizér

20 mg/ml BSA

Číslo proteínu

O96009

Prezervatív

0.05% NaN3

Špecificita

ľudský antigén

Imunogén

Peptid odvodený z oblasti nachádzajúcej sa blízko N - terminálnej sekvencie ľudského Napsin A. Protilátka rozpoznáva epitop umiestnený medzi His120 – Lys136.

Aplikácia

IHC-P, riedenie 1:100

Galéria

obr-A obr-B