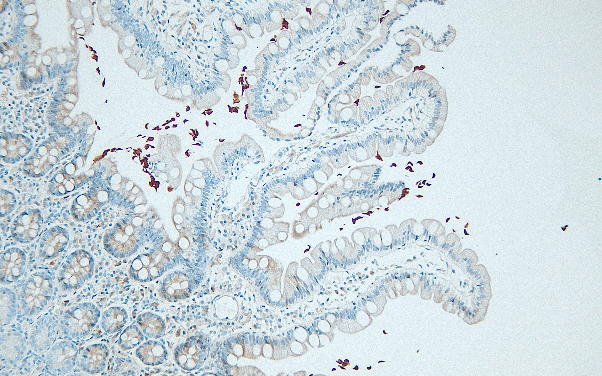
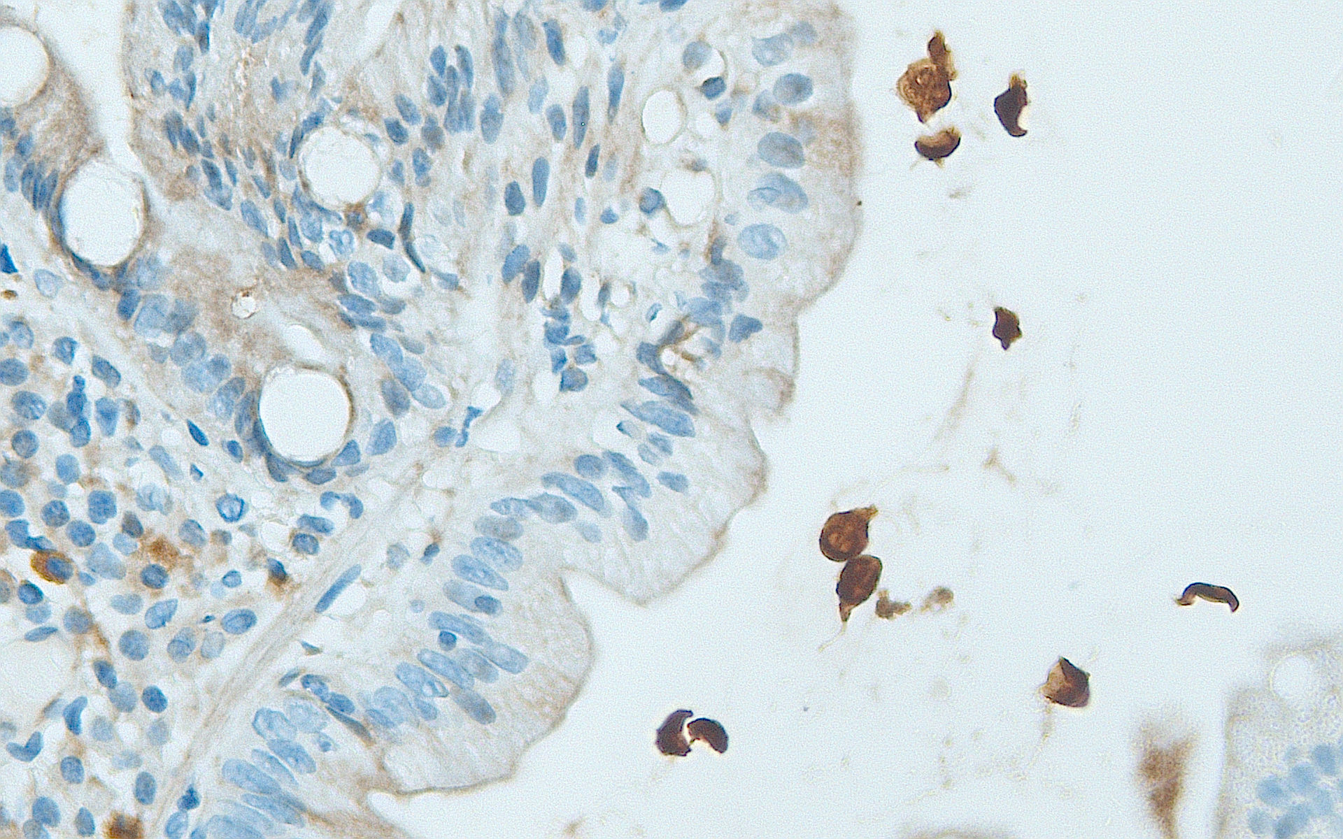
Anti-Giardin α-1

Králičia klonálna protilátka

Kód produktu:DB 319 Kategória:IHC-P
Dokumenty:Datasheet

Informácie pre predaj

Katalógové číslo Objem Poznámka
DB 319-RTU-7 7 ml
DB 319-RTU-15 15 ml
DB 319-0.1 100 μl
DB 319-0.2 200 μl
DB 319-0.5 500 μl
DB 319-1 1 ml

Technické informácie

Klon

D20-D

Pufor

20 mM Tris-HCl, pH 8.0

Stabilizér

20 mg/ml BSA

Číslo proteínu

P17063

Prezervatív

0.05% NaN3

Špecificita

Giardin podjednotka alfa-1

Imunogén

Peptid odvodený z internej oblasti alfa-1 podjednotky proteínu Giardin (sp. Giardia lamblia). Protilátka rozpoznáva epitop umiestnený medzi Asp157 – Asp176.

Aplikácia

IHC P, riedenie 1:100

Galéria

DB319--B DB319--A