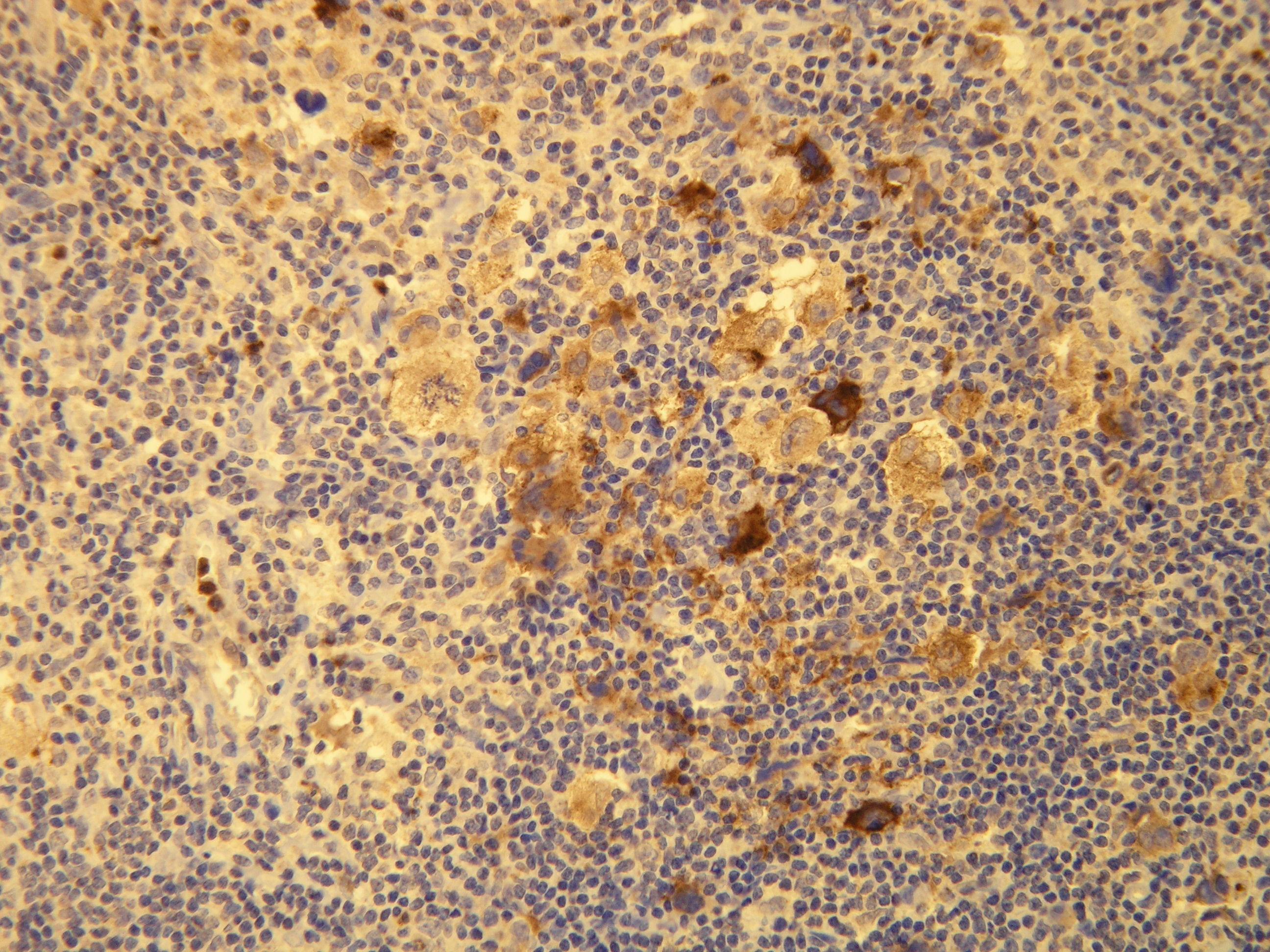
Anti-EBV/LMP-1

Králičia klonálna protilátka

Kód produktu:DB 060 Kategória:IHC-P
Dokumenty:Datasheet

Publikácie

Informácie pre predaj

Katalógové číslo Objem Poznámka
DB 060-0.1 100 μl
DB 060-0.2 200 μl
DB 060-0.5 500 μl
DB 060-1 1 ml
DB 060-RTU-7 7 ml protilátka pripravená na použitie
DB 060-RTU-15 15 ml protilátka pripravená na použitie

Technické informácie

Klon

D24-G

Pufor

20mM Tris-HCl, pH 8.0

Stabilizér

20mg/ml BSA

Číslo proteínu

P03230

Prezervatív

0.05% NaN3

Špecificita

ľudský antigén

Imunogén

Peptid derivovaný z internej oblasti latentého membránového proteínu (LMP) Epsteinovej-Barrovho vírusu (EBV). Protilátka rozpoznáva epitop umiestnený medzi Asp293 - Asp312.

Aplikácia

IHC-P, riedenie 1:100

Galéria

db060a