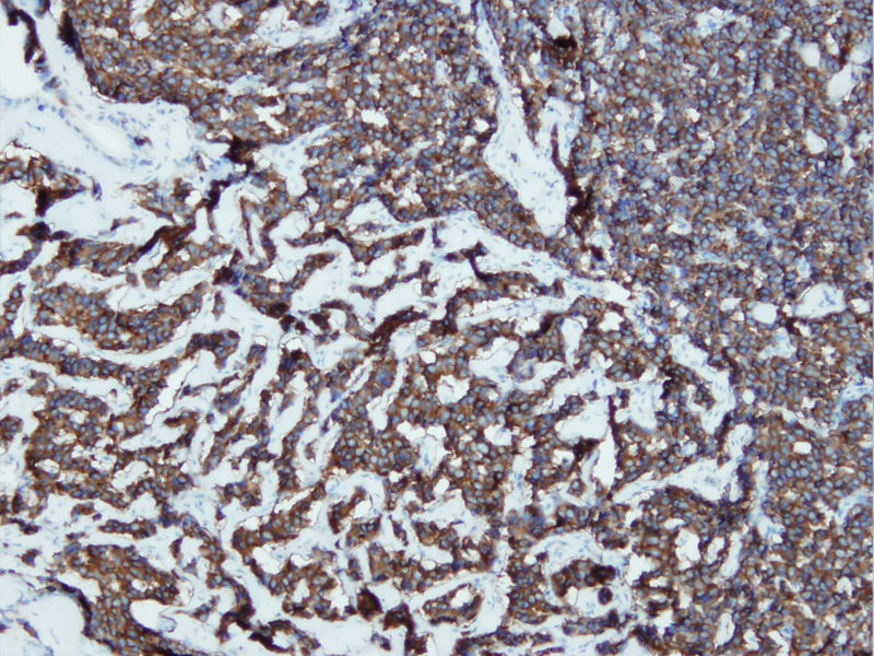
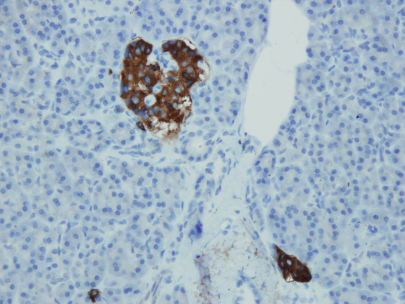
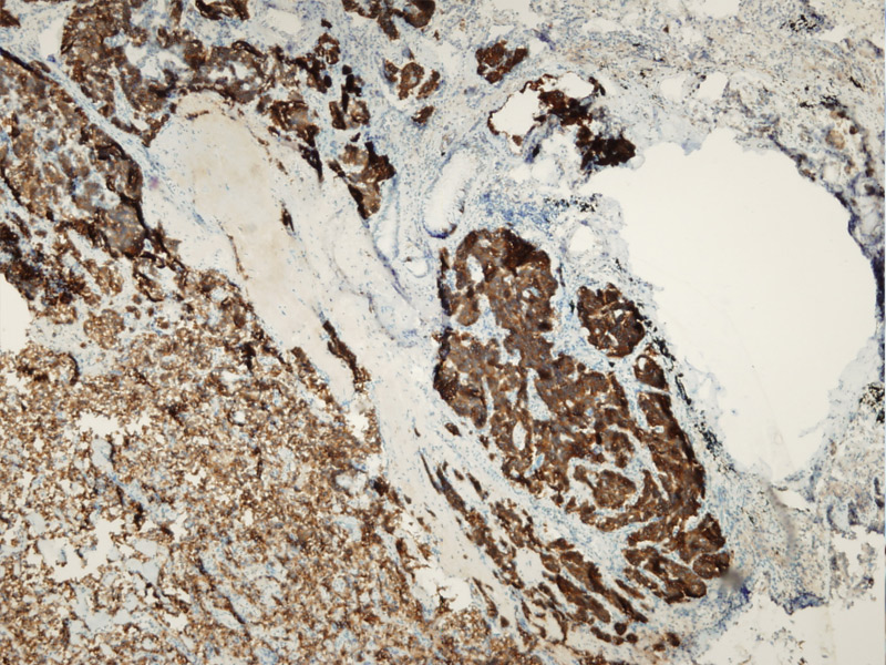
Anti-Synaptophysin

Králičia klonálna protilátka

Kód produktu:DB 156 Kategória:IHC-P
Dokumenty:Datasheet

Informácie pre predaj

Katalógové číslo Objem Poznámka
DB 156-0.1 100 μl
DB 156-0.2 200 μl
DB 156-0.5 500 μl
DB 156-1 1 ml
DB 156-RTU-7 7 ml protilátka pripravená na použitie
DB 156-RTU-15 15 ml protilátka pripravená na použitie

Technické informácie

Klon

Q21-Q

Pufor

20 mM Tris-HCl, pH 8.0

Stabilizér

20 mg/ml BSA

Číslo proteínu

P08247

Prezervatív

0.05% NaN3

Špecificita

ľudský antigén

Imunogén

Peptid derivovaný z C-koncovej sekvencie ľudského synaptofyzínu. Protilátka rozpoznáva epitop umiestnený medzi Gly293 - Ser310.

Aplikácia

IHC-P, riedenie 1:100

Galéria

db156a db156b db156c db156d