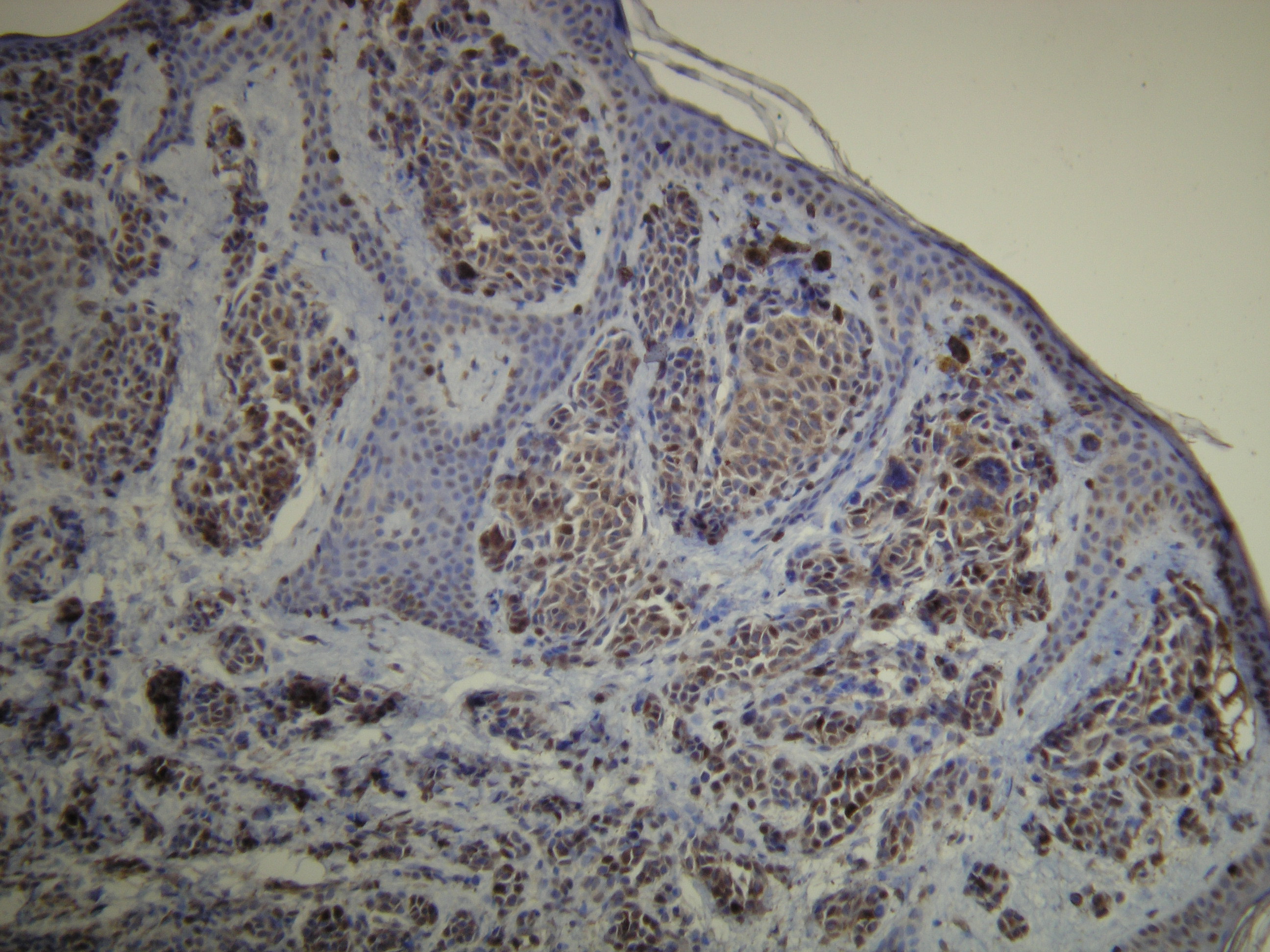
Anti-S-100

Králičia klonálna protilátka

Kód produktu:DB 055 Kategória:IHC-P
Dokumenty:Datasheet

Publikácie

Informácie pre predaj

Katalógové číslo Objem Poznámka
DB 055-0.1 100 μl
DB 055-0.2 200 μl
DB 055-0.5 500 μl
DB 055-1 1 ml
DB 055-RTU-7 7 ml protilátka pripravená na použitie
DB 055-RTU-15 15 ml protilátka pripravená na použitie

Technické informácie

Klon

D28-E

Pufor

20mM Tris-HCl, pH 8.0

Stabilizér

20mg/ml BSA

Číslo proteínu

P23297

Prezervatív

0.05% NaN3

Špecificita

ľudský antigén

Imunogén

Peptid derivovaný z N-koncovej sekvencie ľudského S100-A1 proteínu. Protilátka rozpoznáva epitop umiestnený medzi Val55 – Glu74.

Aplikácia

IHC-P, riedenie 1:100

Galéria

db055