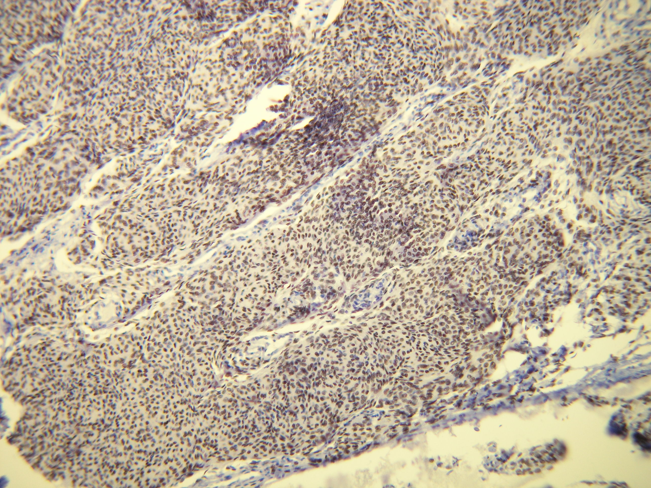
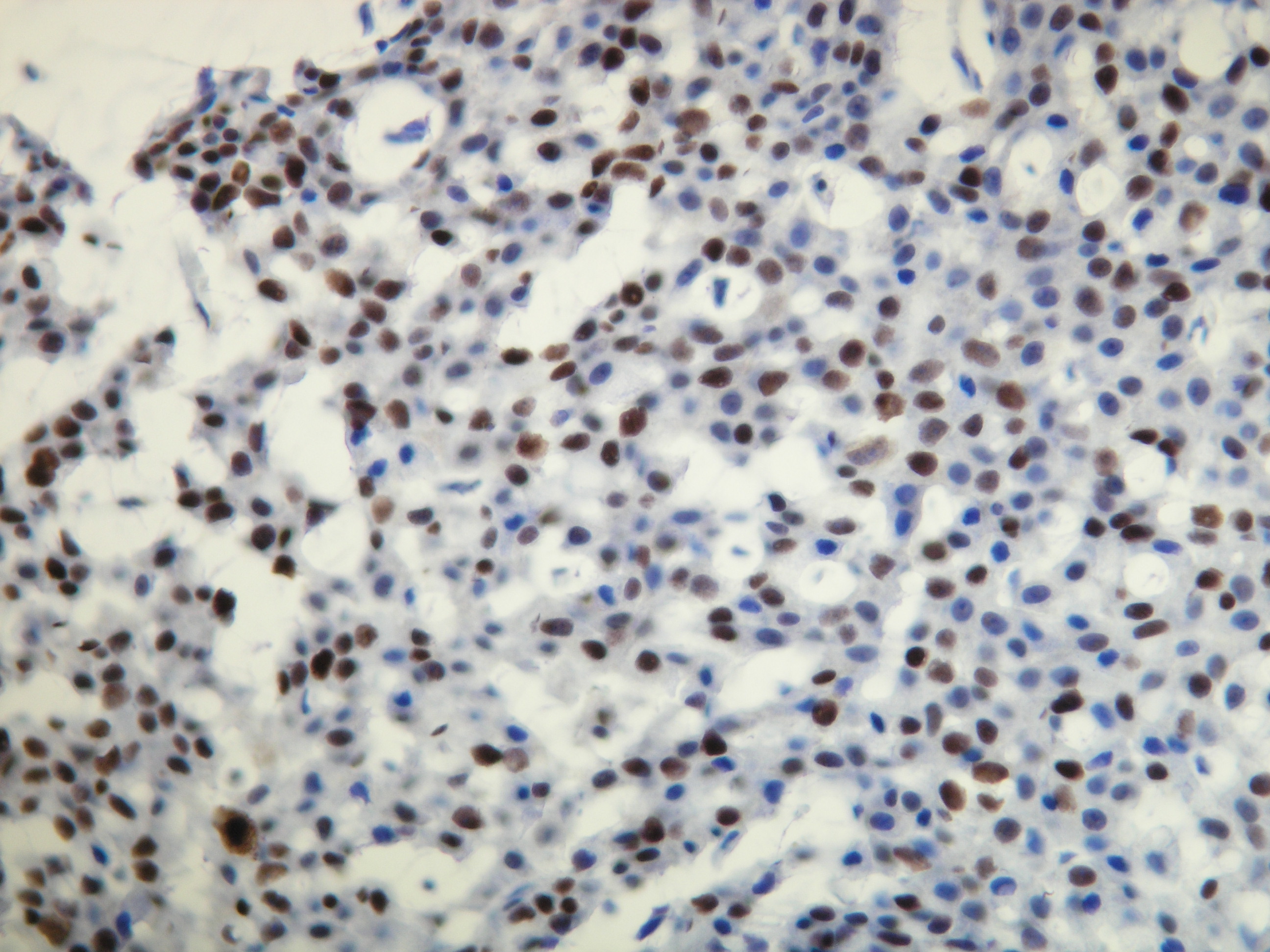
Anti-PR (Progesterone Receptor)

Králičia klonálna protilátka

Kód produktu:DB 109 Kategória:IHC-P
Dokumenty:Datasheet

Publikácie

Informácie pre predaj

Katalógové číslo Objem Poznámka
DB 109-0.1 100 μl
DB 109-0.2 200 μl
DB 109-0.5 500 μl
DB 109-1 1 ml
DB 109-RTU-7 7 ml protilátka pripravená na použitie
DB 109-RTU-15 15 ml protilátka pripravená na použitie

Technické informácie

Klon

A21-W

Pufor

20 mM Tris-HCl, pH 8.0

Stabilizér

20 mg/ml BSA

Číslo proteínu

P06401

Prezervatív

0.05% NaN3

Špecificita

ľudský antigén

Imunogén

Peptid derivovaný zo sekvencie blízko N-konca ľudského progesterónového receptoru. Protilátka rozpoznáva epitop umiestnený medzi Val184 - Ala199.

Aplikácia

IHC-P, riedenie 1:100

Galéria

db109a db109b