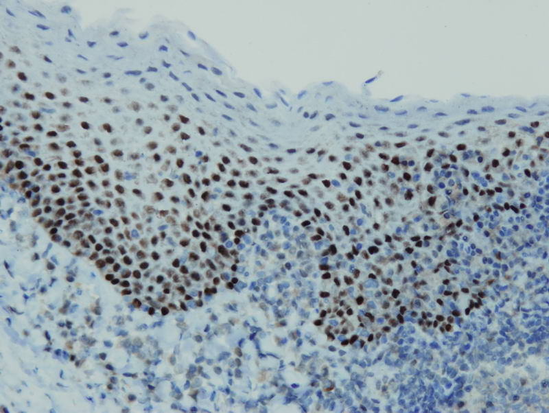
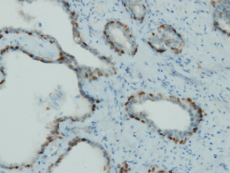
Anti-p63

Králičia klonálna protilátka

Kód produktu:DB 134 Kategória:IHC-P
Dokumenty:Datasheet

Publikácie

Informácie pre predaj

Katalógové číslo Objem Poznámka
DB 134-0.1 100 μl
DB 134-0.2 200 μl
DB 134-0.5 500 μl
DB 134-1 1 ml
DB 134-RTU-7 7 ml protilátka pripravená na použitie
DB 134-RTU-15 15 ml protilátka pripravená na použitie

Technické informácie

Klon

I27-I

Pufor

20 mM Tris-HCl, pH 8.0

Stabilizér

20 mg/ml BSA

Číslo proteínu

Q9H3D4

Prezervatív

0.05% NaN3

Špecificita

ľudský antigén

Imunogén

Peptid derivovaný z internej oblasti ľudského proteínu p63. Protilátka rozpoznáva epitop umiestnený medzi Arg360 - His383.

Aplikácia

IHC-P, riedenie 1:100

Galéria

db134a db134b db134c db134d