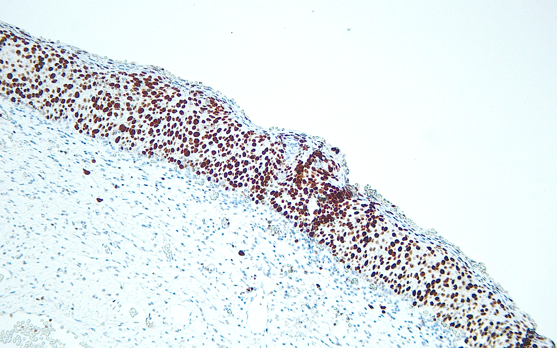
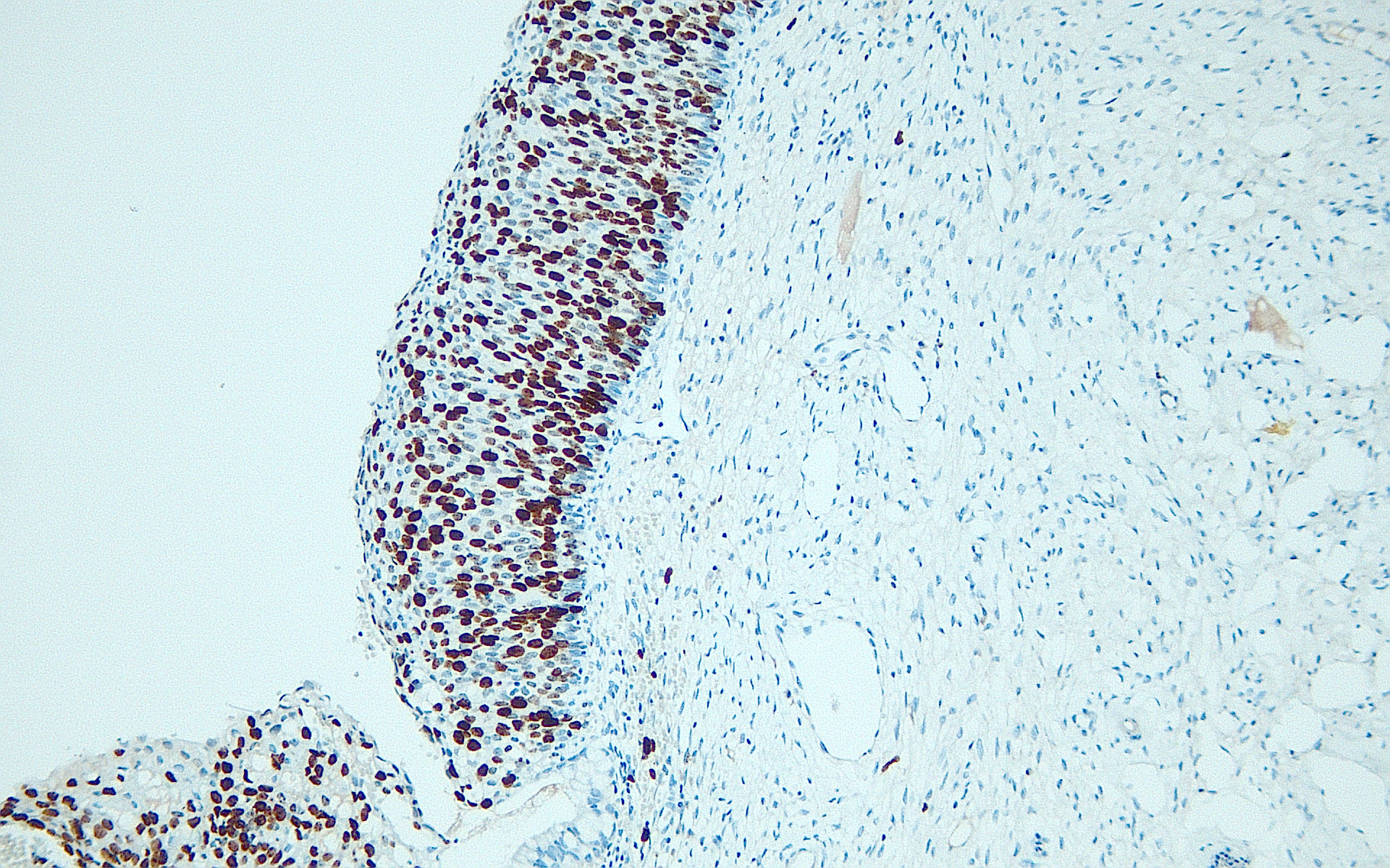
Anti-Ki-67

Myšacia monoklonálna protilátka

Kód produktu:DB 317 Kategória:IHC-P
Dokumenty:Datasheet

Informácie pre predaj

Katalógové číslo Objem Poznámka
DB 317-RTU-15 15 ml
DB 317-RTU-7 7 ml
DB 317-1 1 ml
DB 317-0.5 500 μl
DB 317-0.2 200 μl
DB 317-0.1 100 μl

Technické informácie

Klon

M25-Y

Pufor

20 mM Tris-HCl, pH 8.0

Stabilizér

20 mg/ml BSA

Číslo proteínu

P46013

Prezervatív

0.05% NaN3

Špecificita

ľudský antigén

Imunogén

Imunogénna sekvencia je komerčne senzitívna informácia.

Aplikácia

IHC-P, riedenie 1:100

Galéria

DB-317-Ventana-png DB-317-Leica-png