Anti-IgG

Králičia klonálna protilátka

Kód produktu:DB 173 Kategória:IHC-P
Dokumenty:Datasheet

Informácie pre predaj

Katalógové číslo Objem Poznámka
DB 173-0.1 100 μl
DB 173-0.2 200 μl
DB 173-0.5 500 μl
DB 173-1 1 ml
DB 173-RTU-7 7 ml pripravená na použitie
DB 173-RTU-15 15 ml pripravená na použitie

Technické informácie

Klon

E20-V

Pufor

20 mM Tris-HCl, pH 8.0

Stabilizér

20 mg/ml BSA

Číslo proteínu

P01857, P01859, P01860, P01861

Prezervatív

0.05% NaN3

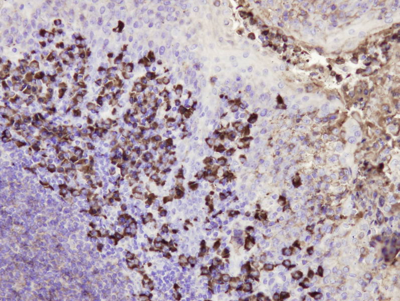
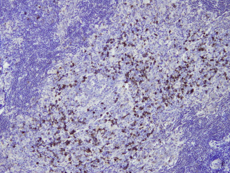
Špecificita

ľudský antigén

Imunogén

Peptid derivovaný z C reťazca ľudského IgG-1. Protilátka rozpoznáva epitop umiestnený medzi Val167 - Val185.

Aplikácia

IHC-P, riedenie 1:100

Galéria

db173a db173b