Anti-Human SOX10

Králičia klonálna protilátka

Kód produktu:DB 260 Kategória:IHC-P
Dokumenty:Datasheet
 

Informácie pre predaj

Katalógové číslo Objem Poznámka
DB 260-0.1 100 μl
DB 260-0.2 200 μl
DB 260-0.5 500 μl
DB 260-1 1 ml
DB 260-RTU-7 7 ml protilátka pripravená na použitie
DB 260-RTU-15 15 ml protilátka pripravená na použitie

Technické informácie

Klon

I25-T

Pufor

20 mM Tris-HCl, pH 8.0

Stabilizér

20 mg/ml BSA

Číslo proteínu

P56693

Prezervatív

0.05% NaN3

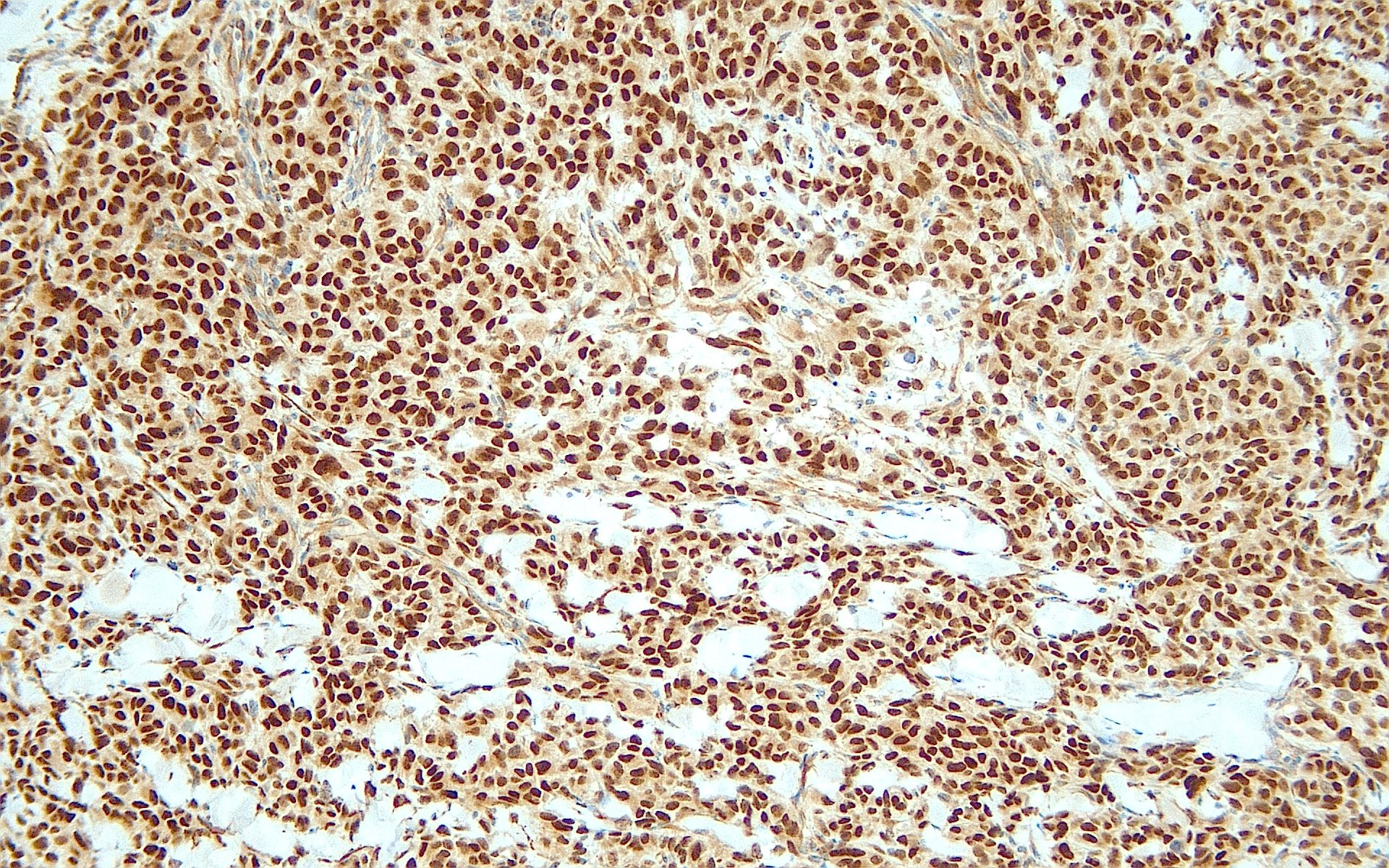
Špecificita

ľudský antigén

Imunogén

Peptid derivovaný z C-terminálnej sekvencie ľudského SOX-10. Protilátka rozpoznáva epitop umiestnený medzi Ser440-Leu463

Aplikácia

IHC-P, riedenie 1:100

Galéria

obr-A obr-B