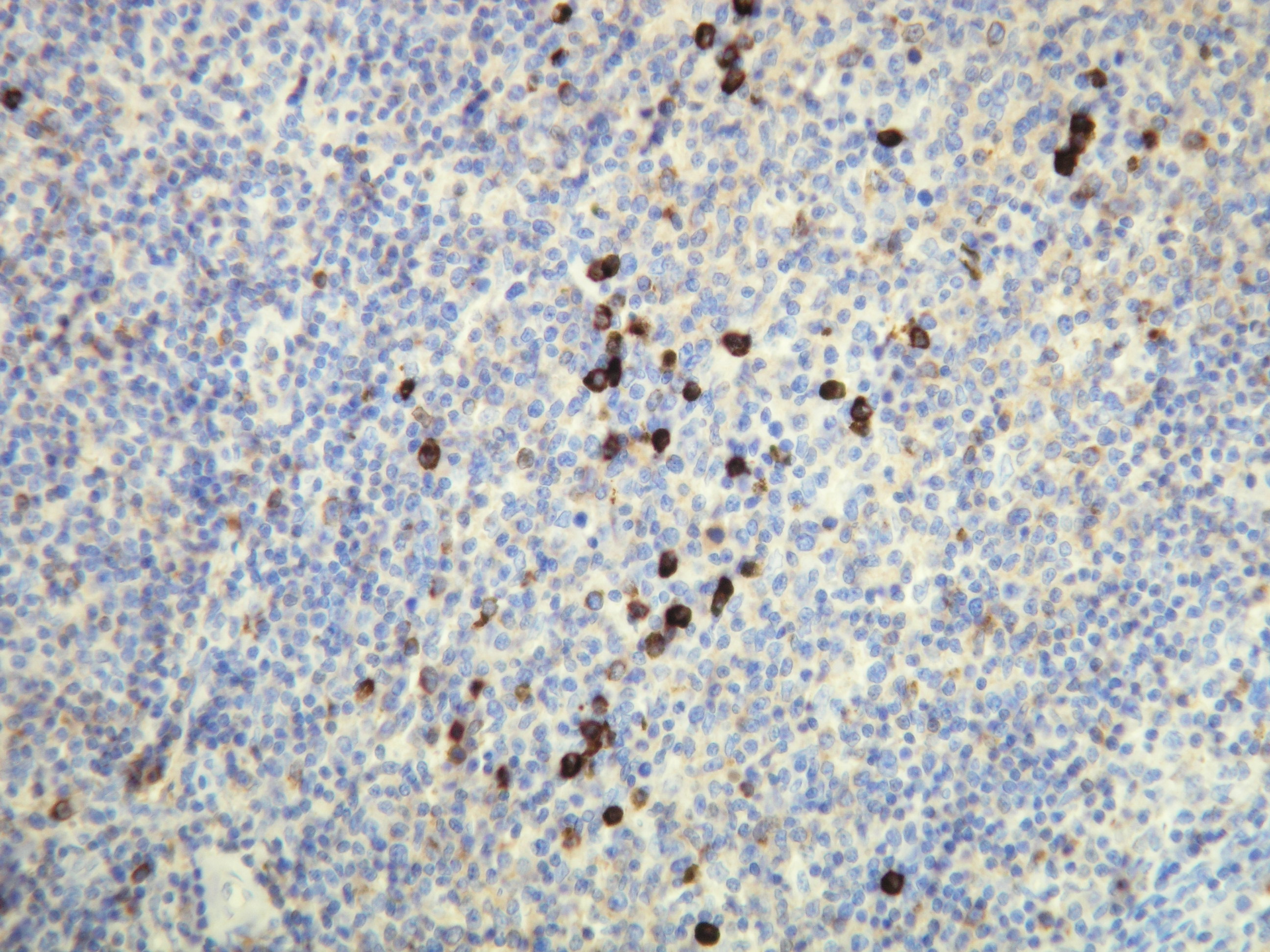
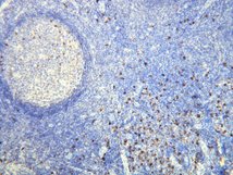
Anti-Human Lambda light chain

Králičia klonálna protilátka

Kód produktu:DB 039 Kategória:IHC-P
Dokumenty:Datasheet

Informácie pre predaj

Katalógové číslo Objem Poznámka
DB 039-0.1 100 μl
DB 039-0.2 200 μl
DB 039-0.5 500 μl
DB 039-1 1 ml
DB 039-RTU-7 7 ml protilátka pripravená na použitie
DB 039-RTU-15 15 ml protilátka pripravená na použitie

Technické informácie

Klon

K22-Y

Pufor

20mM Tris-HCl, pH 8.0

Stabilizér

20mg/ml BSA

Číslo proteínu

P01842

Prezervatív

0.05% NaN3

Špecificita

ľudský antigén

Imunogén

Peptid derivovaný z N-koncovej sekvencie ľudského lambda light chain IgG. Protilátka rozpoznáva epitop umiestnený medzi Ala50 - Ser68.

Aplikácia

IHC-P, riedenie 1:100

Galéria

db039a db039b