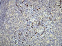
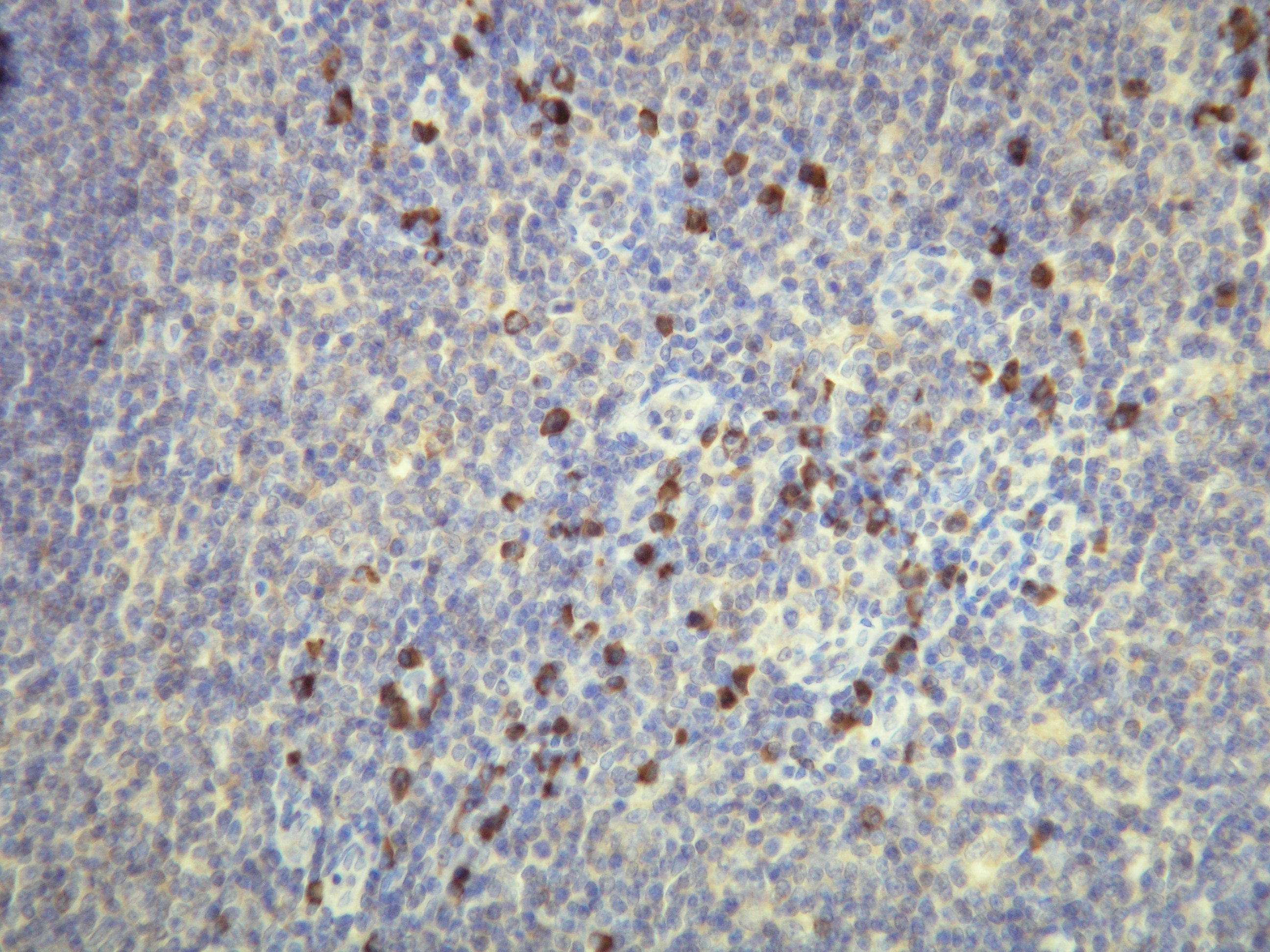
Anti-Human Kappa light chain

Králičia klonálna protilátka

Kód produktu:DB 037 Kategória:IHC-P
Dokumenty:Datasheet

Informácie pre predaj

Katalógové číslo Objem Poznámka
DB 037-0.1 100 μl
DB 037-0.2 200 μl
DB 037-0.5 500 μl
DB 037-1 1 ml
DB 037-RTU-7 7 ml protilátka pripravená na použitie
DB 037-RTU-15 15 ml protilátka pripravená na použitie

Technické informácie

Klon

A21-Y

Pufor

20mM Tris-HCl, pH 8.0

Stabilizér

20mg/ml BSA

Číslo proteínu

P01834

Prezervatív

0.05% NaN3

Špecificita

ľudský antigén

Imunogén

Peptid derivovaný z N-koncovej sekvencie ľudskej kappa light chain IgG. Protilátka rozpoznáva epitop umiestnený medzi Gln47 - Ser63.

Aplikácia

IHC-P, riedenie 1:100

Galéria

db037a db037b