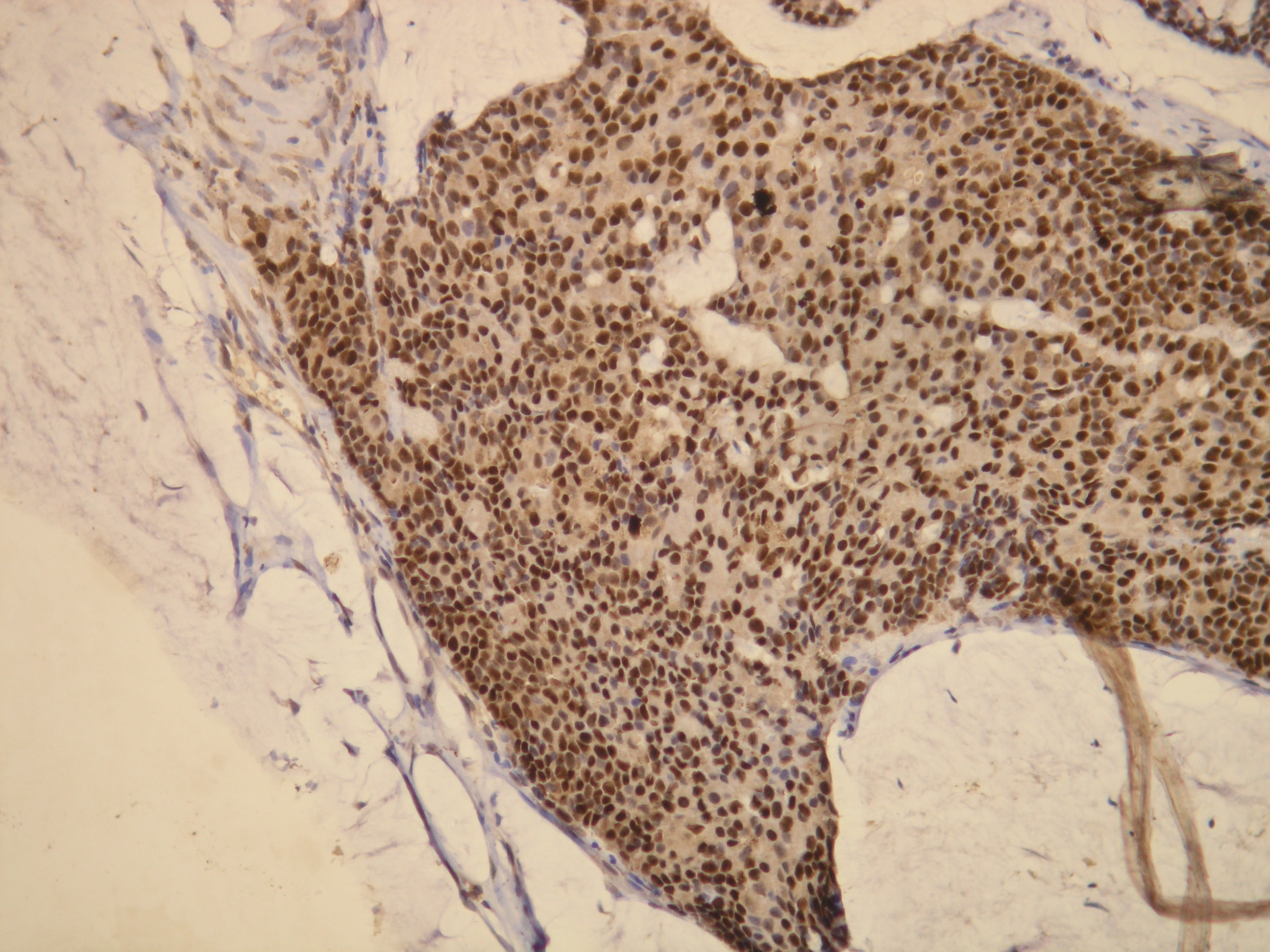
Anti-ER (Estrogen receptor)

Králičia klonálna protilátka

Kód produktu:DB 053 Kategória:IHC-P
Dokumenty:Datasheet

Publikácie

Informácie pre predaj

Katalógové číslo Objem Poznámka
DB 053-0.1 100 μl
DB 053-0.2 200 μl
DB 053-0.5 500 μl
DB 053-1 1 ml
DB 053-RTU-7 7 ml protilátka pripravená na použitie
DB 053-RTU-15 15 ml protilátka pripravená na použitie

Technické informácie

Klon

S21-V

Pufor

20mM Tris-HCl, pH 8.0

Stabilizér

20mg/ml BSA

Číslo proteínu

P03372

Prezervatív

0.05% NaN3

Špecificita

ľudský antigén

Imunogén

Peptid derivovaný z C-koncovej sekvencie ľudského estrogén receptoru alfa. Protilátka rozpoznáva epitop umiestnený medzi Gln580 - Thr594.

Aplikácia

IHC-P, riedenie 1:100

Galéria

db053