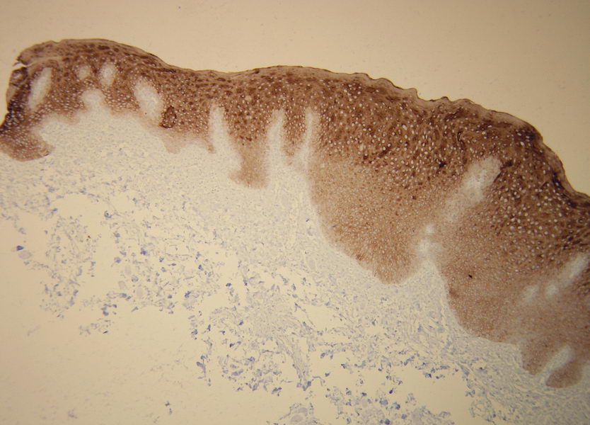
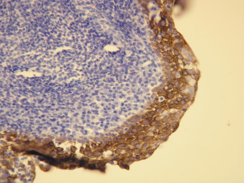
Anti-Cytokeratin 5/6

Králičia klonálna protilátka

Kód produktu:DB 097 Kategória:IHC-P
Dokumenty:Datasheet
 

Informácie pre predaj

Katalógové číslo Objem Poznámka
DB 097-0.1 100 μl
DB 097-0.2 200 μl
DB 097-0.5 500 μl
DB 097-1 1 ml
DB 097-RTU-7 7 ml protilátka pripravená na použitie
DB 097-RTU-15 15 ml protilátka pripravená na použitie

Technické informácie

Klon

T16-K

Pufor

20 mM Tris-HCl, pH 8.0

Stabilizér

20 mg/ml BSA

Číslo proteínu

P13647 (CK5), P02538 (CK6)

Prezervatív

0.05% NaN3

Špecificita

ľudský antigén

Imunogén

Peptid derivovaný z C-koncovej sekvencie ľudského cytokeratinu 6. Protilátka rozoznáva epitop (identický s cytokeratinom 5) medzi Thr548 – His564.

Aplikácia

 IHC-P, riedenie 1:100

Galéria

db097a db097b