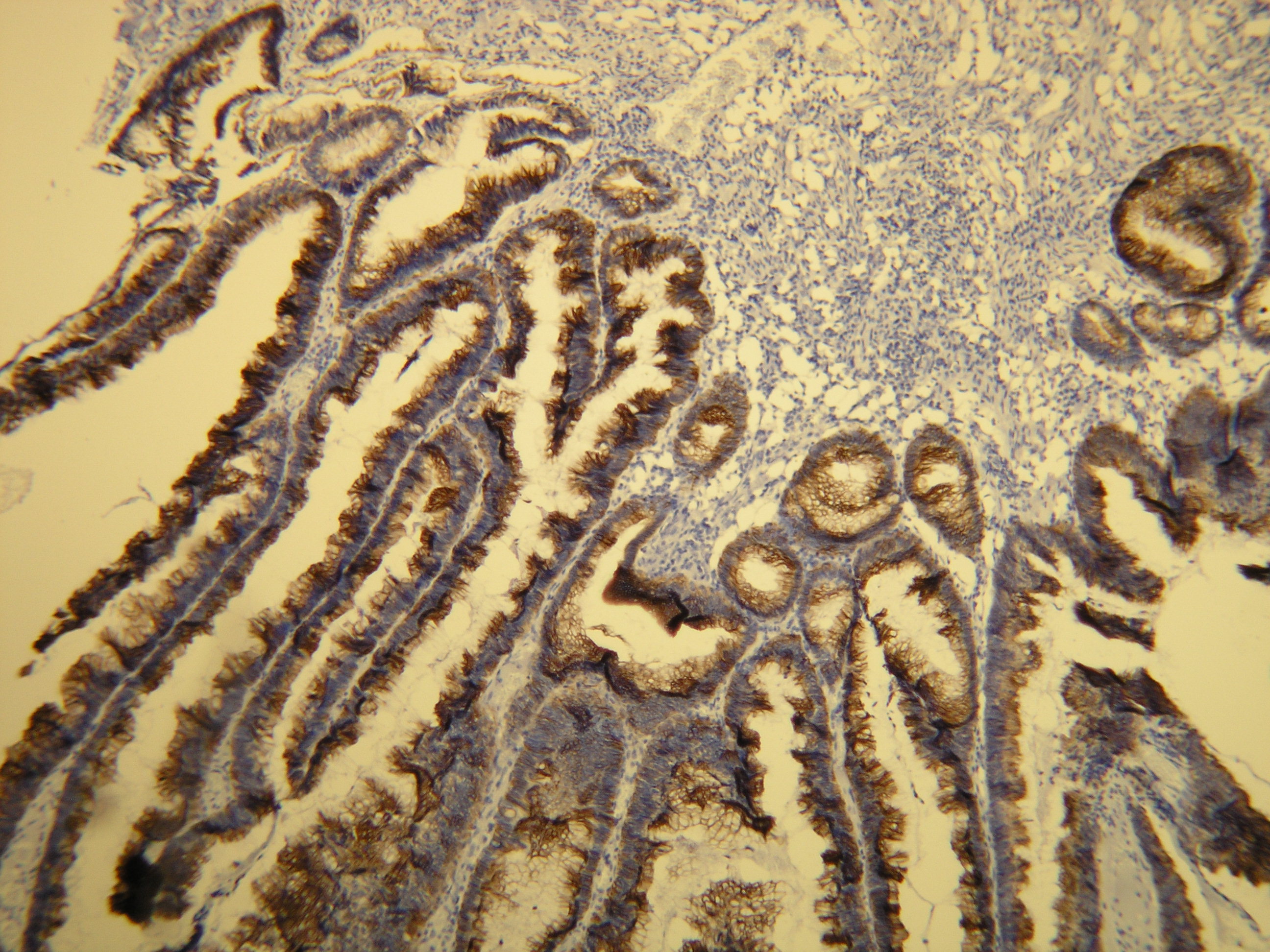
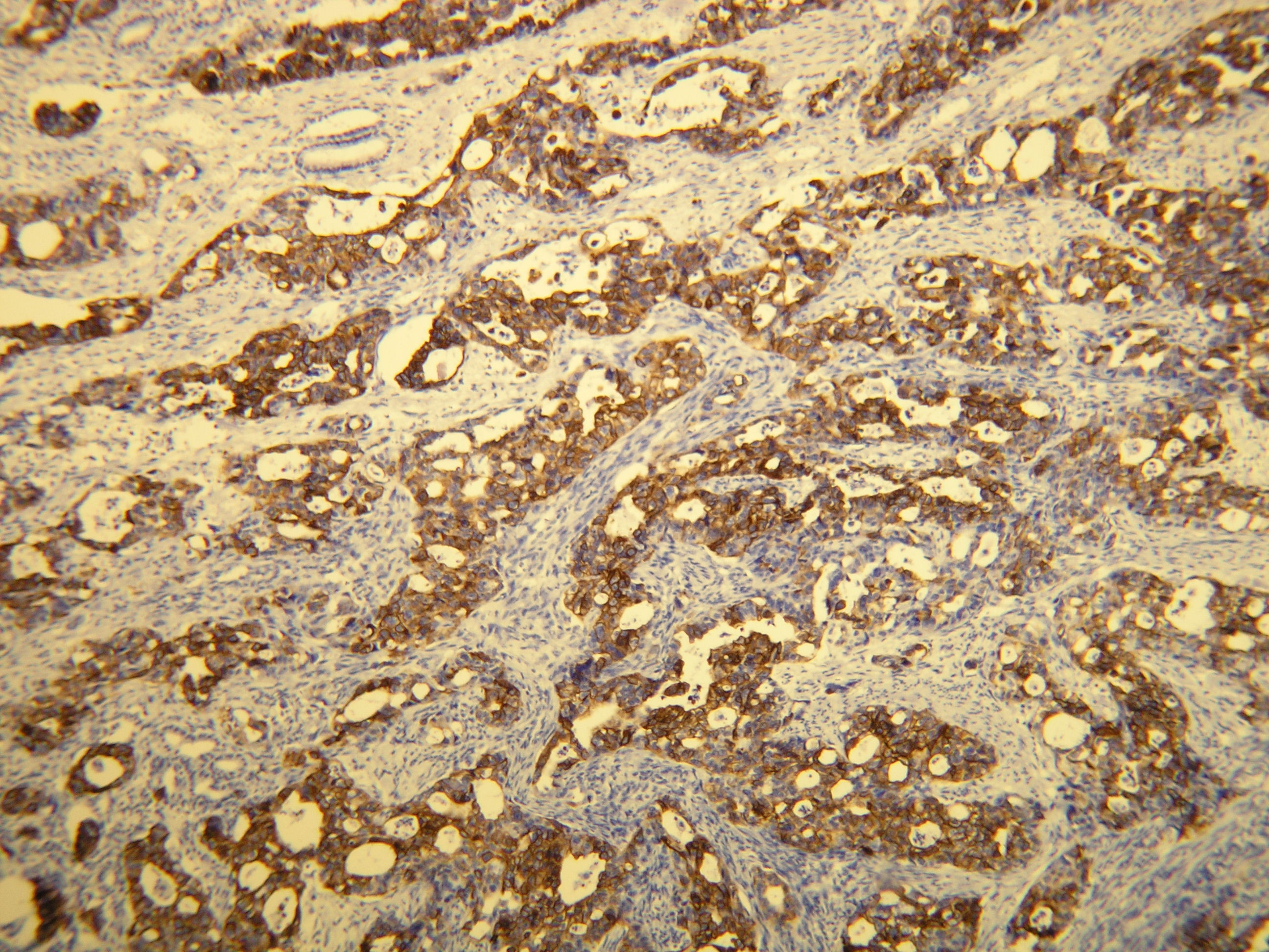
Anti-Cytokeratin 20

Králičia klonálna protilátka

Kód produktu:DB 119 Kategória:IHC-P
Dokumenty:Datasheet

Informácie pre predaj

Katalógové číslo Objem Poznámka
DB 119-0.1 100 μl
DB 119-0.2 200 μl
DB 119-0.5 500 μl
DB 119-1 1 ml
DB 119-RTU-7 7 ml protilátka pripravená na použitie
DB 119-RTU-15 15 ml protilátka pripravená na použitie

Technické informácie

Klon

E19-I

Pufor

20 mM Tris-HCl, pH 8.0

Stabilizér

20 mg/ml BSA

Číslo proteínu

P35900

Prezervatív

0.05% NaN3

Špecificita

ľudský antigén

Imunogén

Peptid derivovaný z C-koncovej sekvencie ľudského cytokeratin 20. Protilátka rozpoznáva epitop umiestnený medzi Val408 - Ile424.

Aplikácia

IHC-P, riedenie 1:100

Galéria

db119a db119b db119c db119d