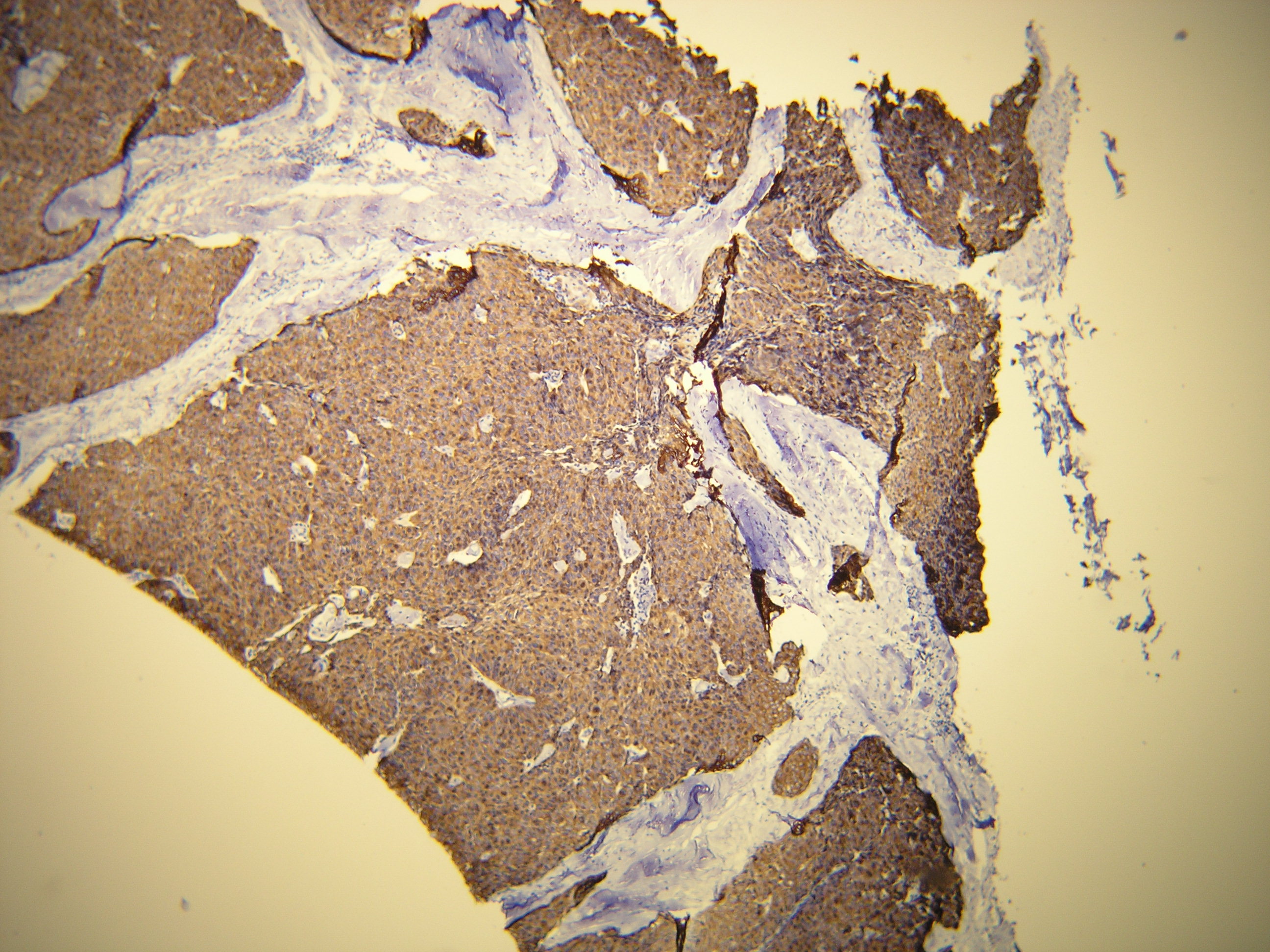
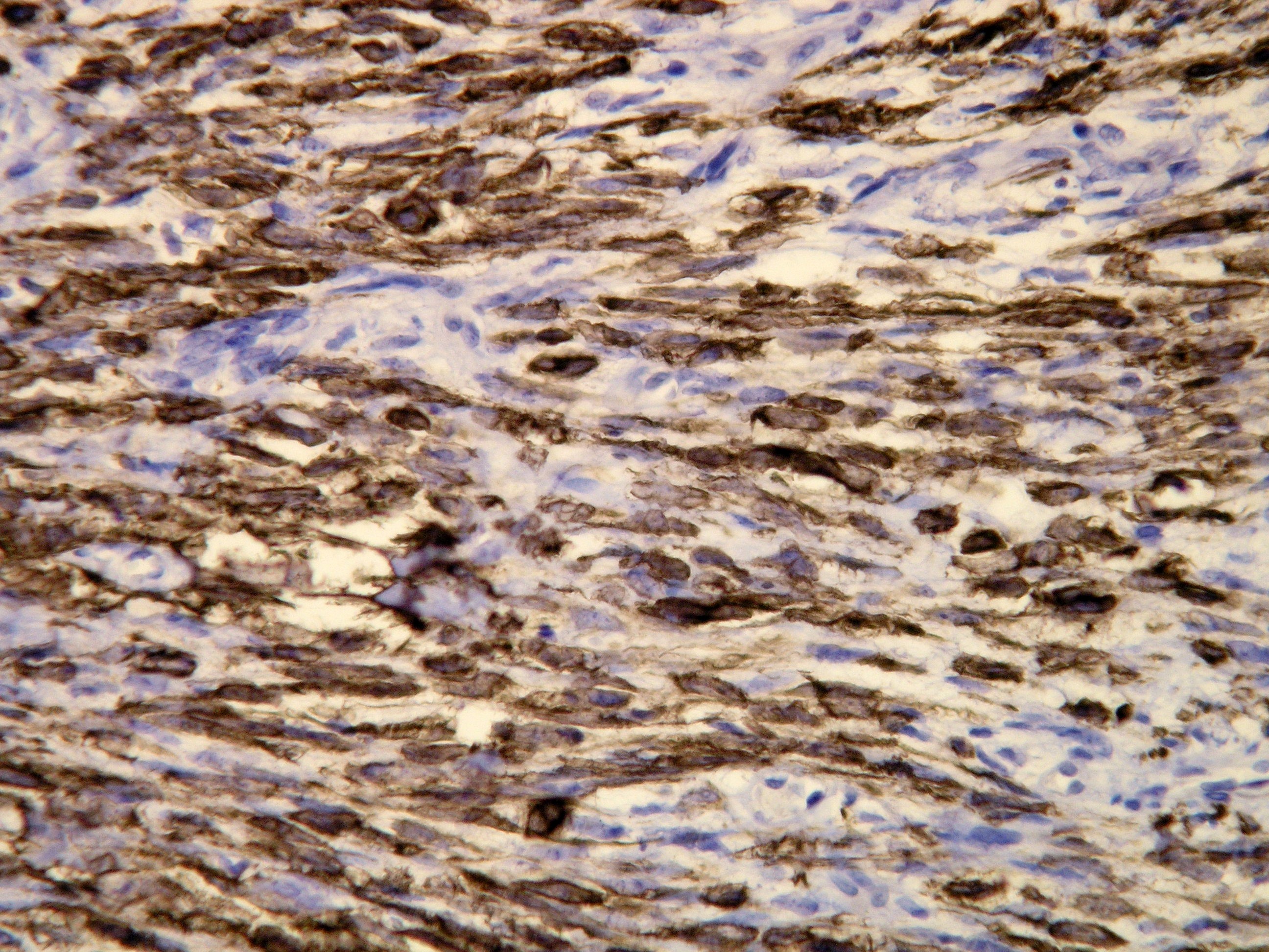
Anti-Cytokeratin 19

Králičia klonálna protilátka

Kód produktu:DB 103 Kategória:IHC-P
Dokumenty:Datasheet

Publikácie

Informácie pre predaj

Katalógové číslo Objem Poznámka
DB 103-0.1 100 μl
DB 103-0.2 200 μl
DB 103-0.5 500 μl
DB 103-1 1 ml
DB 103-RTU-7 7 ml protilátka pripravená na použitie
DB 103-RTU-15 15 ml protilátka pripravená na použitie

Technické informácie

Klon

E16-L

Pufor

20 mM Tris-HCl, pH 8.0

Stabilizér

20 mg/ml BSA

Číslo proteínu

P08727

Prezervatív

0.05% NaN3

Špecificita

ľudský antigén

Imunogén

Peptid derivovaný z C-konca ľudského cytokeratin 19 proteínu. Protilátka rozpoznáva epitop umiestnený medzi Gly386 - Val399.

Aplikácia

IHC-P, riedenie 1:100

Galéria

db103a db103b