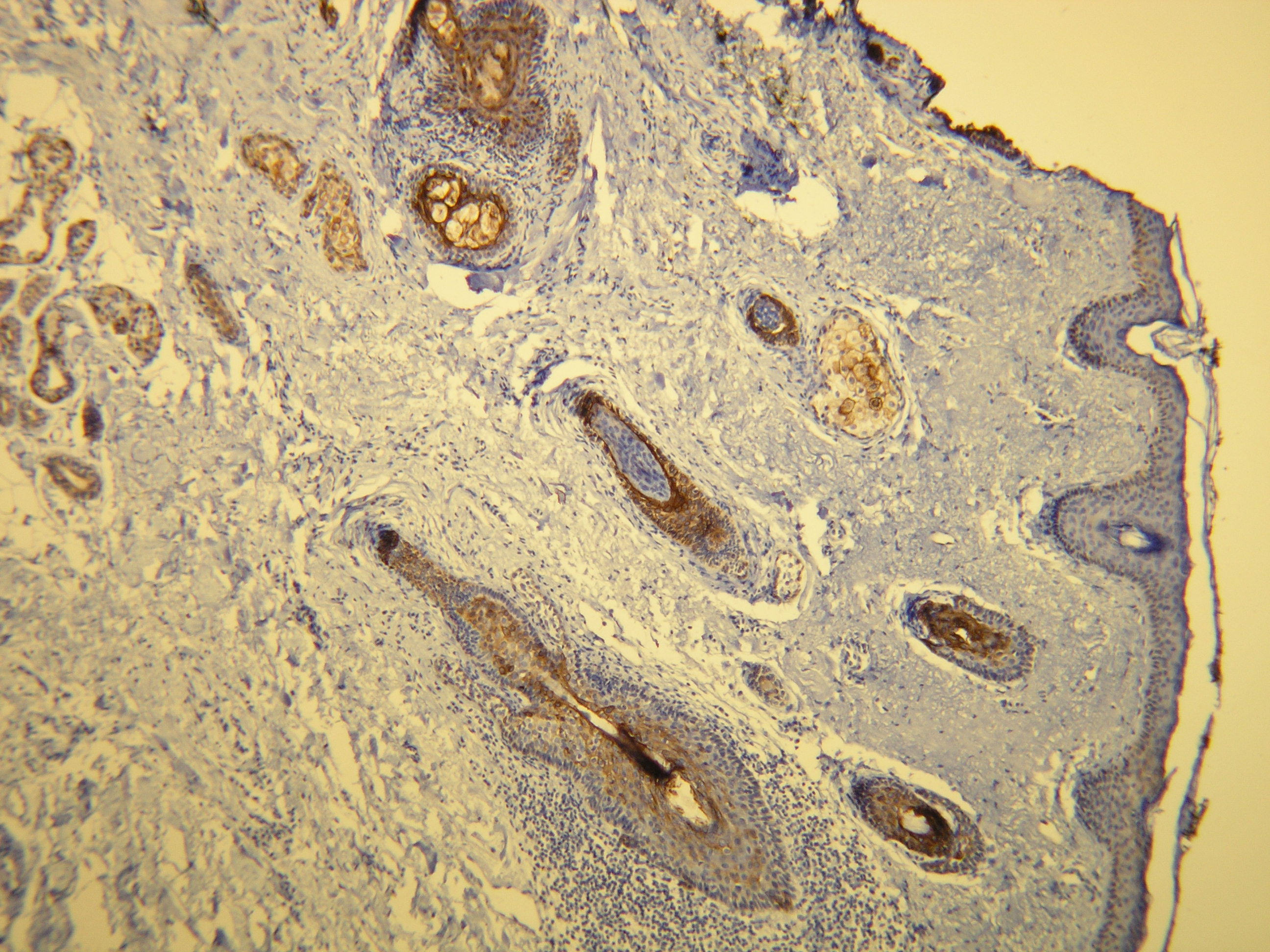
Anti-Cytokeratin 17

Králičia klonálna protilátka

Kód produktu:DB 101 Kategória:IHC-P
Dokumenty:Datasheet

Informácie pre predaj

Katalógové číslo Objem Poznámka
DB 101-0.1 100 μl
DB 101-0.2 200 μl
DB 101-0.5 500 μl
DB 101-1 1 ml
DB 101-RTU-7 7 ml protilátka pripravená na použitie
DB 101-RTU-15 15 ml protilátka pripravená na použitie

Technické informácie

Klon

V21-R

Pufor

20 mM Tris-HCl, pH 8.0

Stabilizér

20 mg/ml BSA

Číslo proteínu

Q04695

Prezervatív

0.05% NaN3

Špecificita

ľudský antigén

Imunogén

Peptid derivovaný z C-konca ľudského cytokeratin 17 proteínu. Protilátka rozpoznáva epitop umiestnený medzi Glu414 - Thr431.

Aplikácia

IHC-P, riedenie 1:100

Galéria

db101a