Anti-Cytokeratin 14

Králičia klonálna protilátka

Kód produktu:DB 099 Kategória:IHC-P
Dokumenty:Datasheet

Publikácie

Informácie pre predaj

Katalógové číslo Objem Poznámka
DB 099-0.1 100 μl
DB 099-0.2 200 μl
DB 099-0.5 500 μl
DB 099-1 1 ml
DB 099-RTU-7 7 ml protilátka pripravená na použitie
DB 099-RTU-15 15 ml protilátka pripravená na použitie

Technické informácie

Klon

D19-N

Pufor

20 mM Tris-HCl, pH 8.0

Stabilizér

20 mg/ml BSA

Číslo proteínu

P02533

Prezervatív

0.05% NaN3

Špecificita

ľudský antigén

Imunogén

Peptid derivovaný z C-konca ľudského Cytokeratín 14 proteínu. Protilátka rozpoznáva epitop umiestnený medzi Val455 - Lys471.

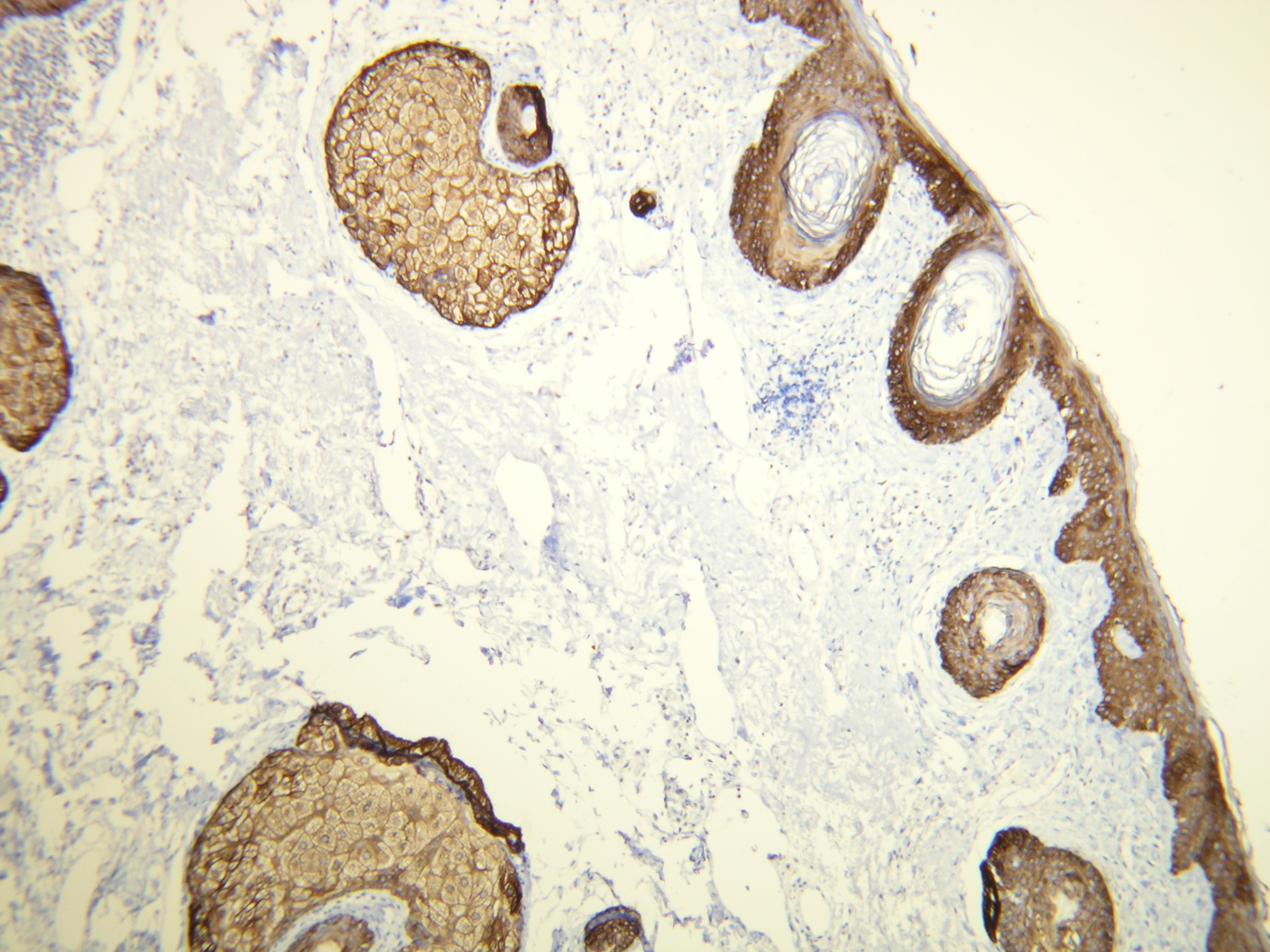
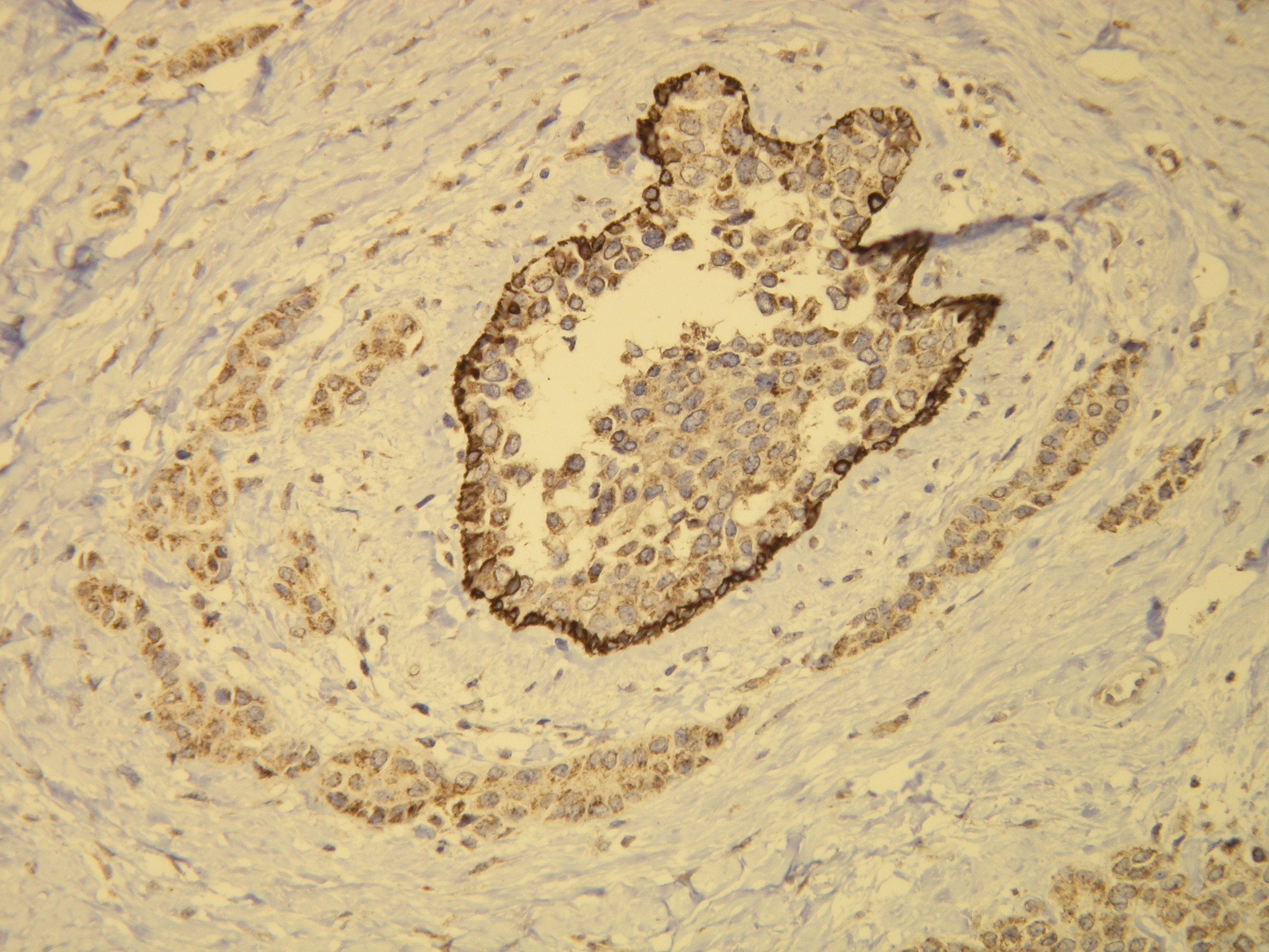
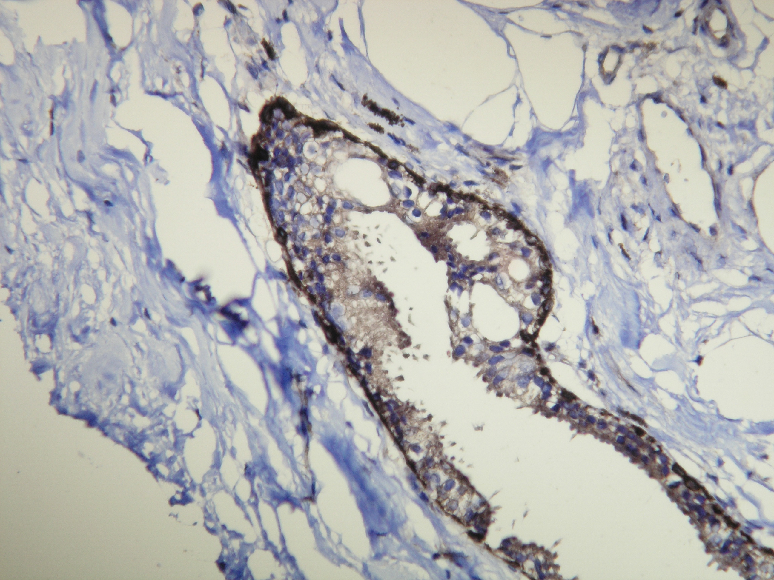
Aplikácia

IHC-P, riedenie 1:100

Galéria

db099a db099b db099c