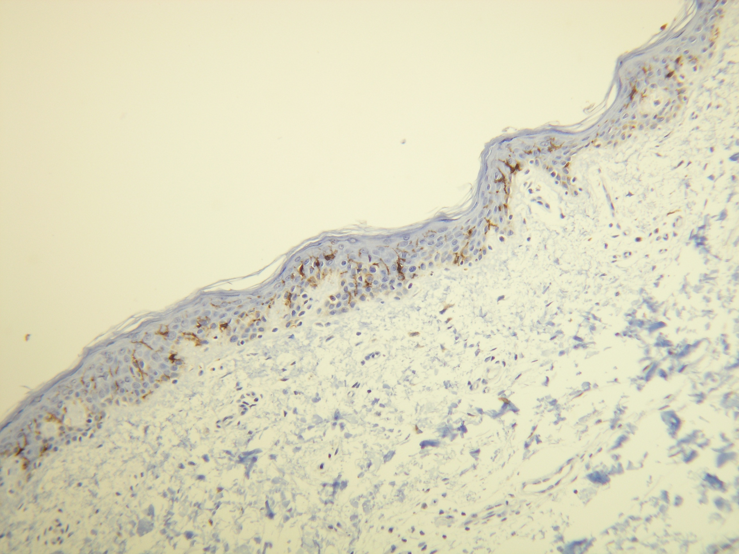
Anti-CD1a

Králičia klonálna protilátka

Kód produktu:DB 071 Kategória:IHC-P
Dokumenty:Datasheet

Informácie pre predaj

Katalógové číslo Objem Poznámka
DB 071-0.1 100 μl
DB 071-0.2 200 μl
DB 071-0.5 500 μl
DB 071-1 1 ml
DB 071-RTU-7 7 ml protilátka pripravená na použitie
DB 071-RTU-15 15 ml protilátka pripravená na použitie

Technické informácie

Klon

L21-A

Pufor

20mM Tris-HCl, pH 8.0

Stabilizér

20mg/ml BSA

Číslo proteínu

P06126

Prezervatív

0.05% NaN3

Špecificita

ľudský antigén

Imunogén

Peptid derivovaný z C-konca ľudského CD1a proteínu blízko transmembránovej domény. Protilátka rozpoznáva epitop umiestnený medzi Gly240 - Ala256.

Aplikácia

IHC-P, riedenie 1:100

Galéria

db071 db071-b