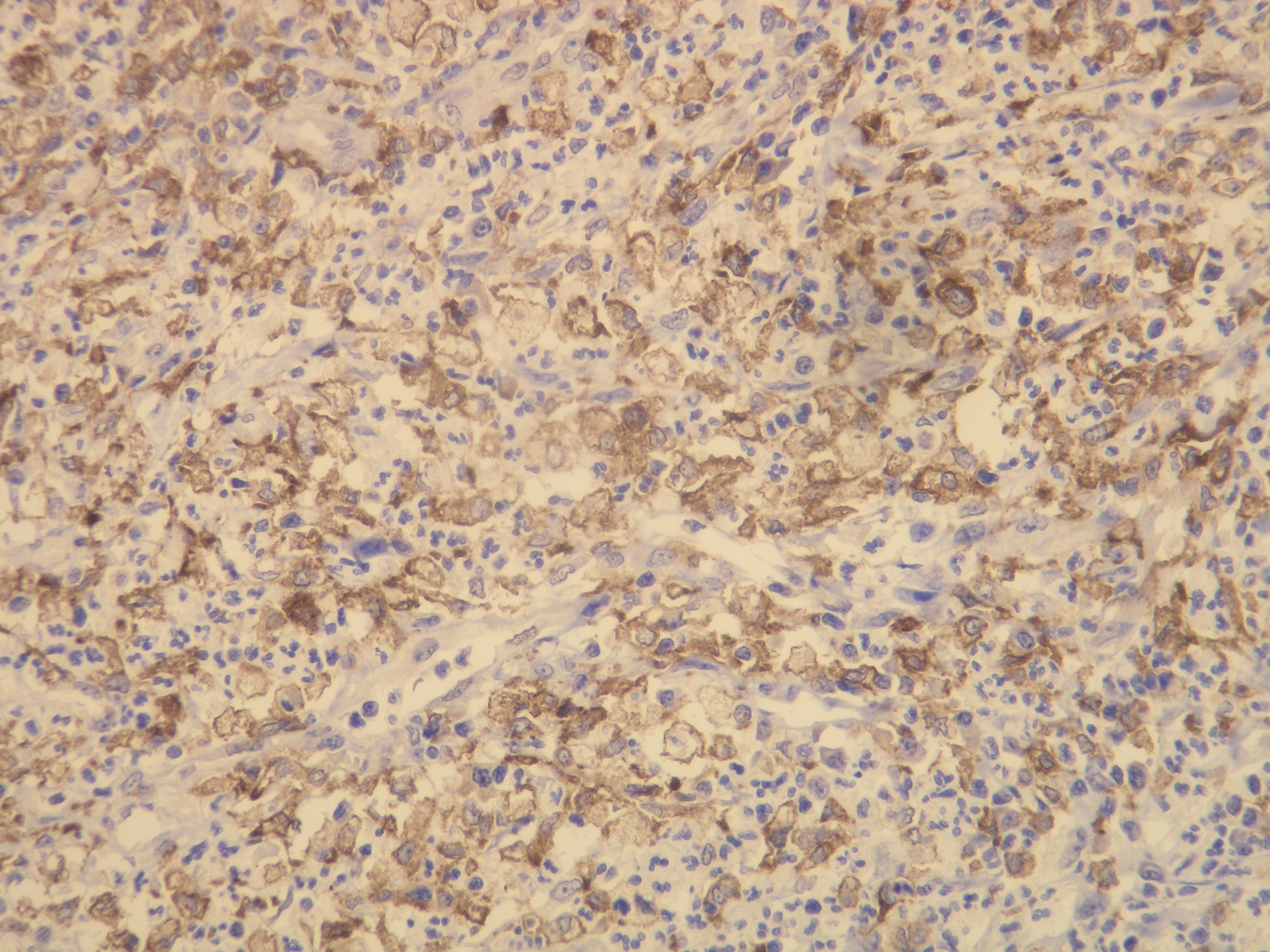
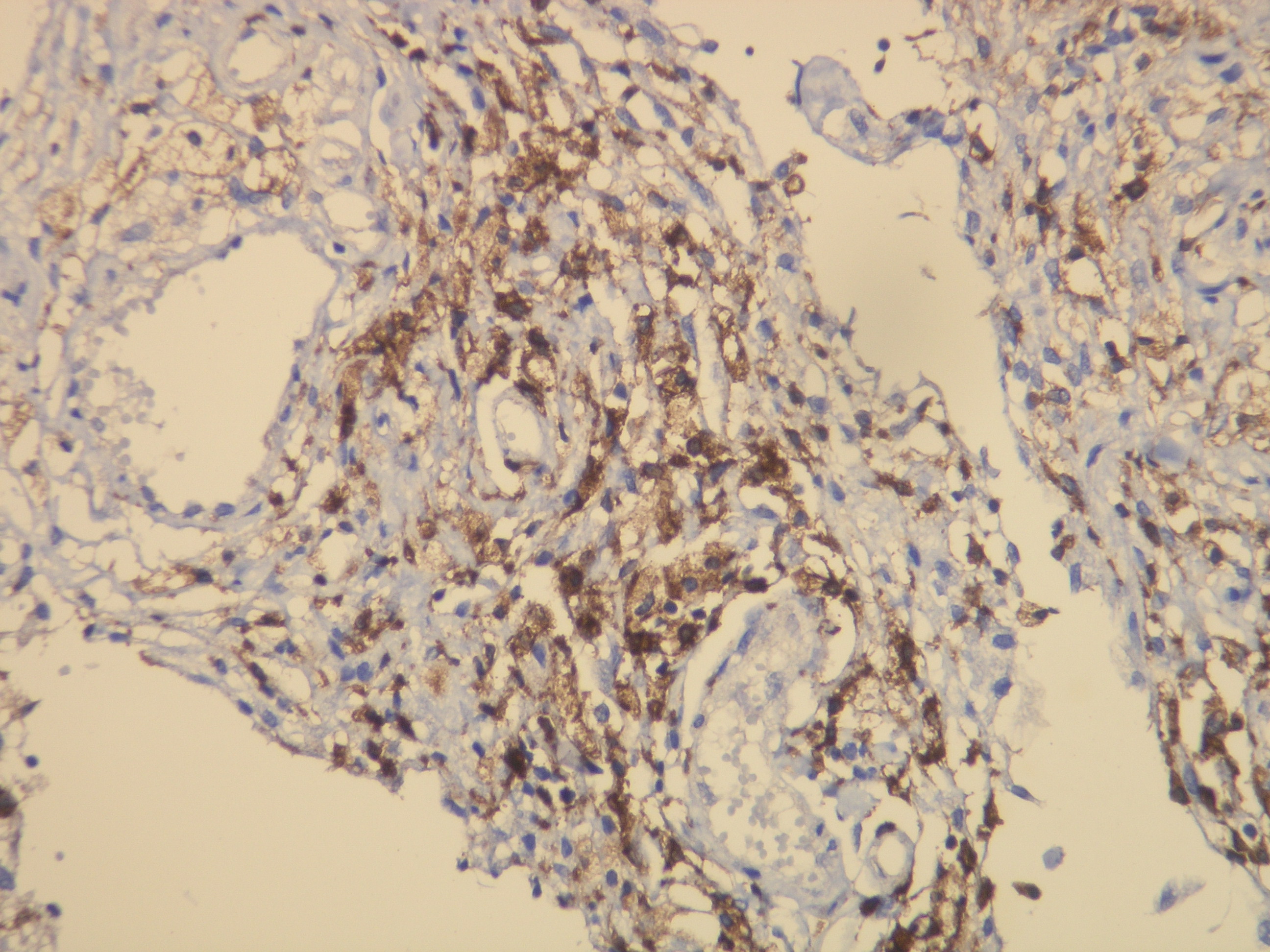
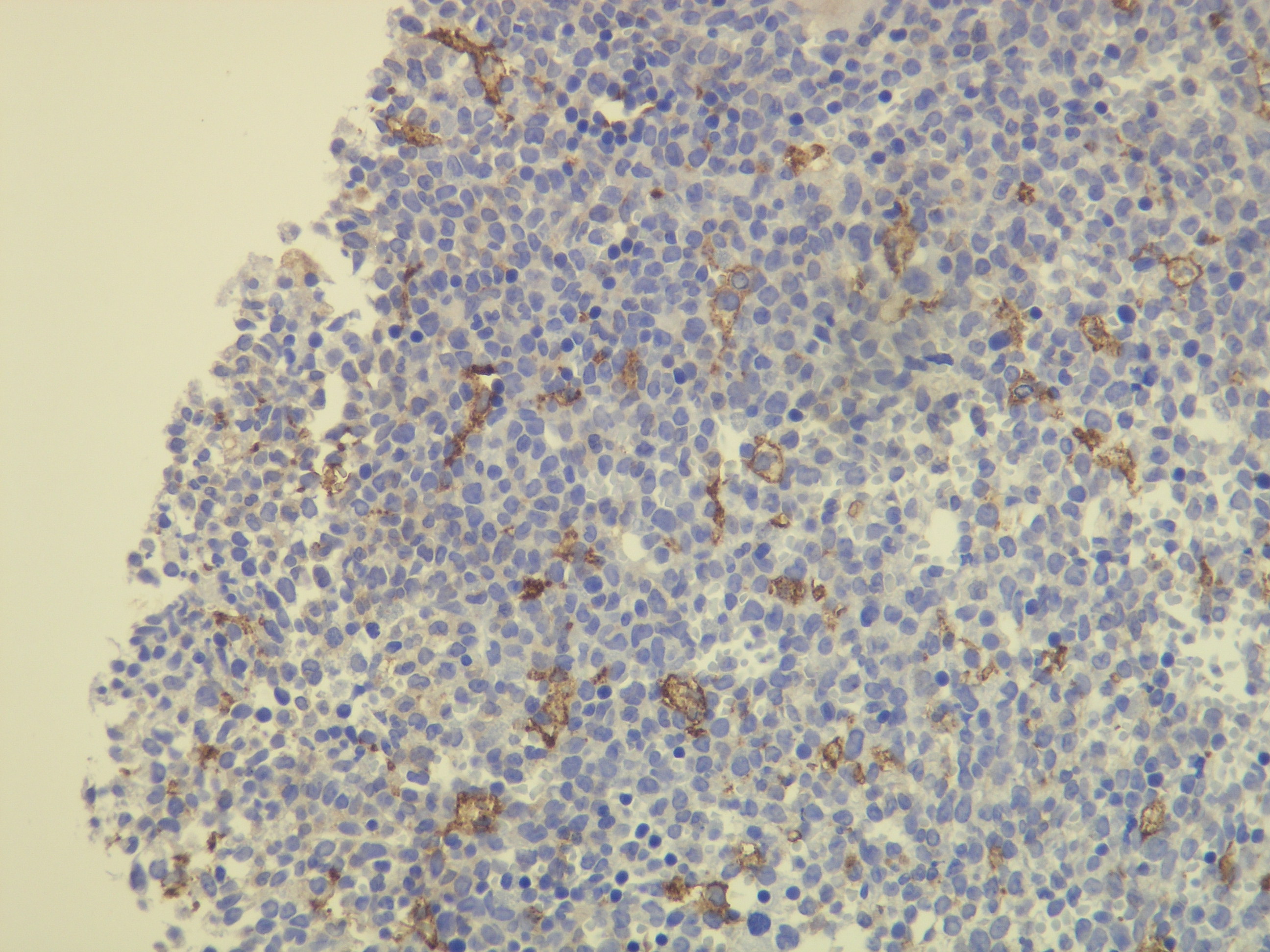
Anti-CD163

Králičia klonálna protilátka

Kód produktu:DB 045 Kategória:IHC-P
Dokumenty:Datasheet

Publikácie

Informácie pre predaj

Katalógové číslo Objem Poznámka
DB 045-0.1 100 μl
DB 045-0.2 200 μl
DB 045-0.5 500 μl
DB 045-1 1 ml
DB 045-RTU-7 7 ml protilátka pripravená na použitie
DB 045-RTU-15 15 ml protilátka pripravená na použitie

Technické informácie

Klon

K20-T

Pufor

20mM Tris-HCl, pH 8.0

Stabilizér

20mg/ml BSA

Číslo proteínu

Q86VB7

Prezervatív

0.05% NaN3

Špecificita

ľudský antigén

Imunogén

Peptid derivovaný z N-koncovej sekvencie ľudskej CD163. Protilátka rozpoznáva epitop umiestnený medzi Gly134 - Gly148.

Aplikácia

IHC-P, riedenie 1:100

Galéria

db045 db045b db045c