Anti-CD117

Králičia klonálna protilátka

Kód produktu:DB 062 Kategória:IHC-P
Dokumenty:Datasheet

Informácie pre predaj

Katalógové číslo Objem Poznámka
DB 062-0.1 100 μl
DB 062-0.2 200 μl
DB 062-0.5 500 μl
DB 062-1 1 ml
DB 062-RTU-7 7 ml protilátka pripravená na použitie
DB 062-RTU-15 15 ml protilátka pripravená na použitie

Technické informácie

Klon

R21-V

Pufor

20mM Tris-HCl, pH 8.0

Stabilizér

20mg/ml BSA

Číslo proteínu

P10721

Prezervatív

0.05% NaN3

Špecificita

ľudský antigén

Imunogén

Peptid derivovaný z C-koncovej sekvencie ľudskej CD117. Protilátka rozpoznáva epitop umiestnený medzi Ile957 - His973.

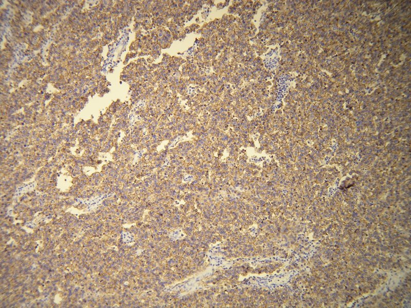
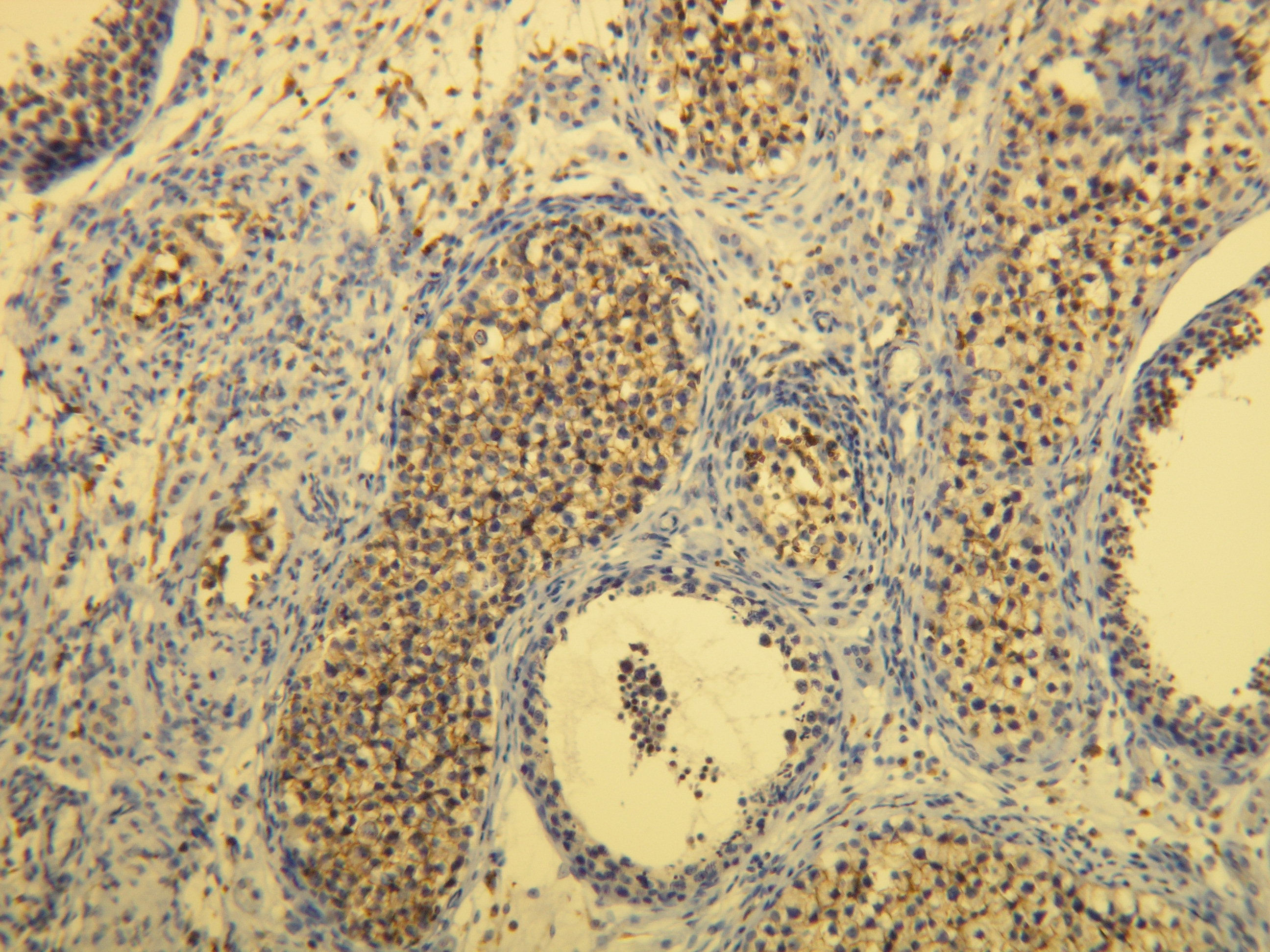
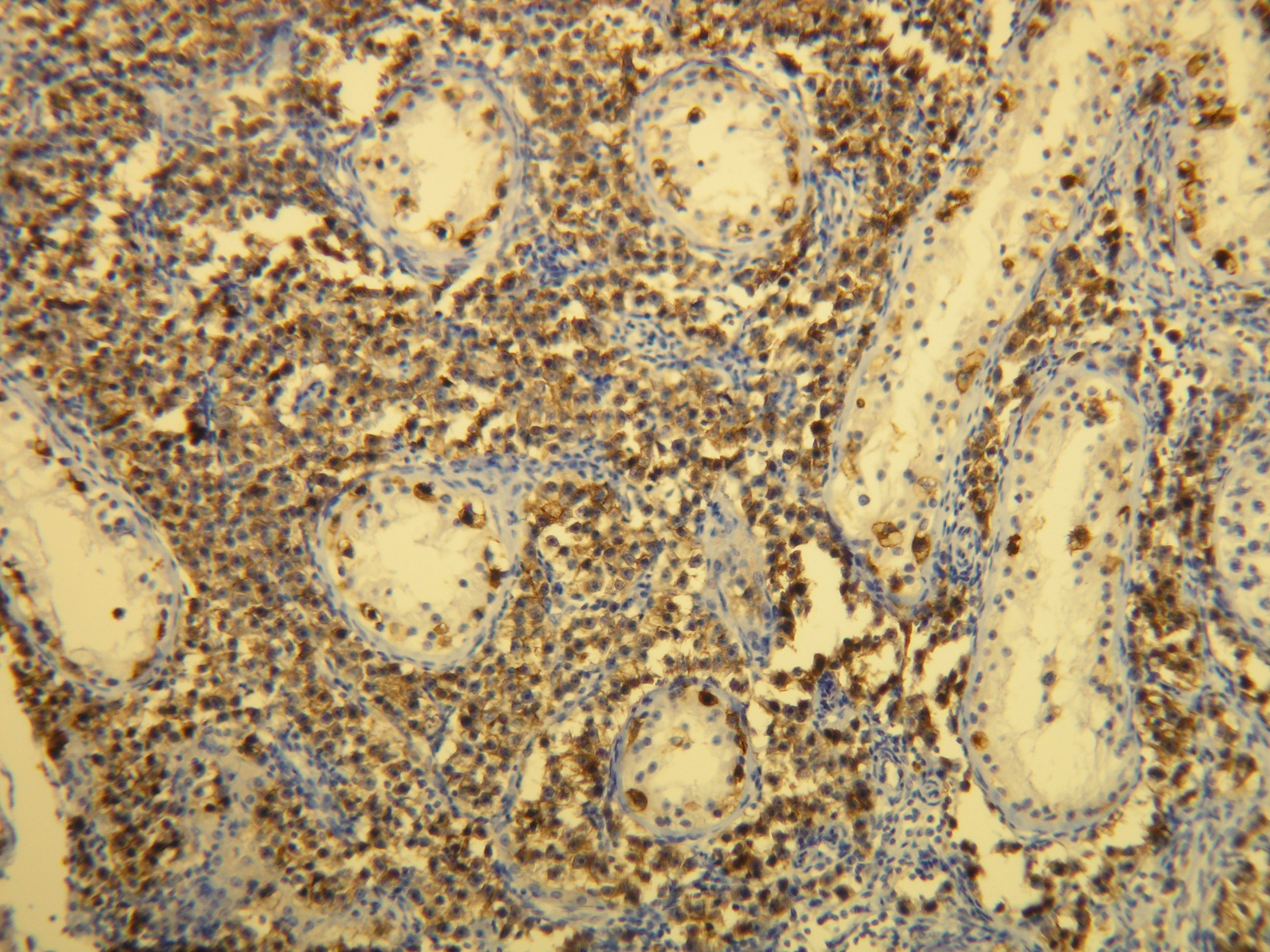
Aplikácia

IHC-P, riedenie 1:100

Galéria

db062-a db062-b db062-c