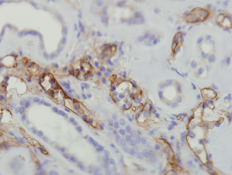
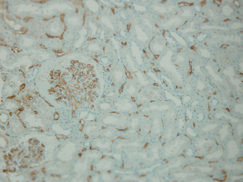
Anti-C4d complement

Králičia klonálna protilátka

Kód produktu:DB 107 Kategória:IHC-P
Dokumenty:Datasheet

Publikácie

Informácie pre predaj

Katalógové číslo Objem Poznámka
DB 107-0.1 100 μl
DB 107-0.2 200 μl
DB 107-0.5 500 μl
DB 107-1 1 ml
DB 107-RTU-7 7 ml protilátka pripravená na použitie
DB 107-RTU-15 15 ml protilátka pripravená na použitie

Technické informácie

Klon

A24-T

Pufor

20 mM Tris-HCl, pH 8.0

Stabilizér

20 mg/ml BSA

Číslo proteínu

P0C0L4

Prezervatív

0.05% NaN3

Špecificita

ľudský antigén

Imunogén

Peptid derivovaný z internej oblasti ľudského C4 proteínu komplementu

Aplikácia

IHC-P, riedenie 1:100

Galéria

db107a db107b