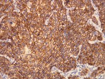
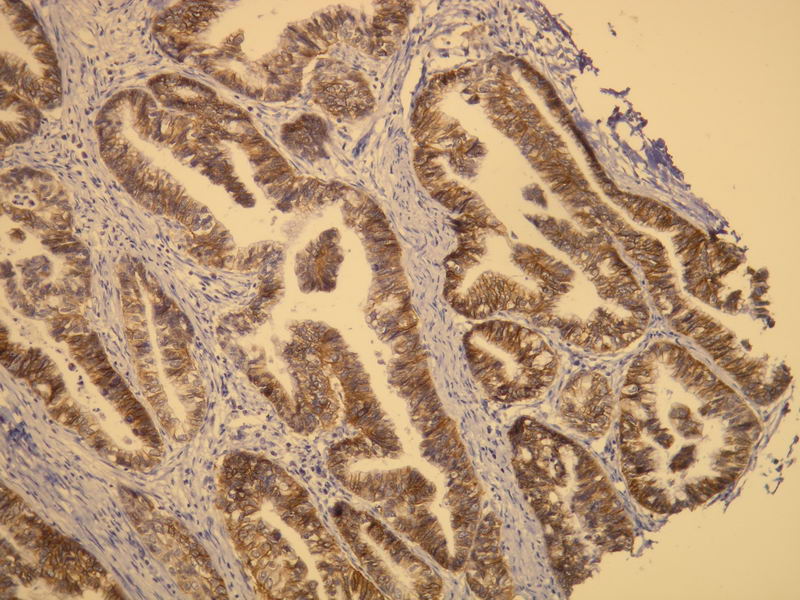
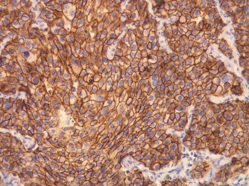
Anti-C-erbB-2 (Her-2/neu)

Králičia klonálna protilátka

Kód produktu:DB 094 Kategória:IHC-P
Dokumenty:Datasheet

Publikácie

Informácie pre predaj

Katalógové číslo Objem Poznámka
DB 094-0.1 100 μl
DB 094-0.2 200 μl
DB 094-0.5 500 μl
DB 094-1 1 ml
DB 094-RTU-7 7 ml protilátka pripravená na použitie
DB 094-RTU-15 15 ml protilátka pripravená na použitie

Technické informácie

Klon

A24-V

Pufor

20 mM Tris-HCl, pH 8.0

Stabilizér

20 mg/ml BSA

Číslo proteínu

P04626

Prezervatív

0.05% NaN3

Špecificita

ľudský antigén

Imunogén

Peptid derivovaný z C-konca ľudského C-erbB-2 proteínu. Protilátka rozpoznáva epitop umiestnený medzi Pro1233 - Pro1254.

Aplikácia

IHC-P, riedenie 1:100

Galéria

db-094a db-094b