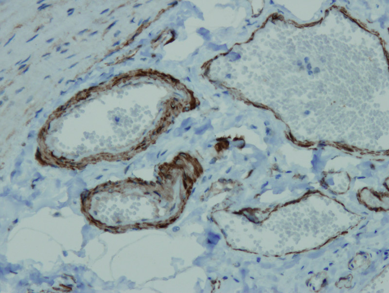
Anti-Alpha Smooth Muscle Actin

Králičia klonálna protilátka

Kód produktu:DB 147 Kategória:IHC-P
Dokumenty:Datasheet

Informácie pre predaj

Katalógové číslo Objem Poznámka
DB 147-0.1 100 μl
DB 147-0.2 200 μl
DB 147-0.5 500 μl
DB 147-1 1 ml
DB 147-RTU-7 7 ml protilátka pripravená na použitie
DB 147-RTU-15 15 ml protilátka pripravená na použitie

Technické informácie

Klon

M16-L

Pufor

20 mM Tris-HCl, pH 8.0

Stabilizér

20 mg/ml BSA

Číslo proteínu

P62736

Prezervatív

0.05% NaN3

Špecificita

ľudský antigén, myšací antigén

Imunogén

Peptid derivovaný z N-koncovej sekvencie ľudského alpha actin hladkého svalstva. Protilátka rozpoznáva epitop umiestnený medzi Glu3 - Gly16.

Aplikácia

IHC-P, riedenie 1:100

Galéria

db147