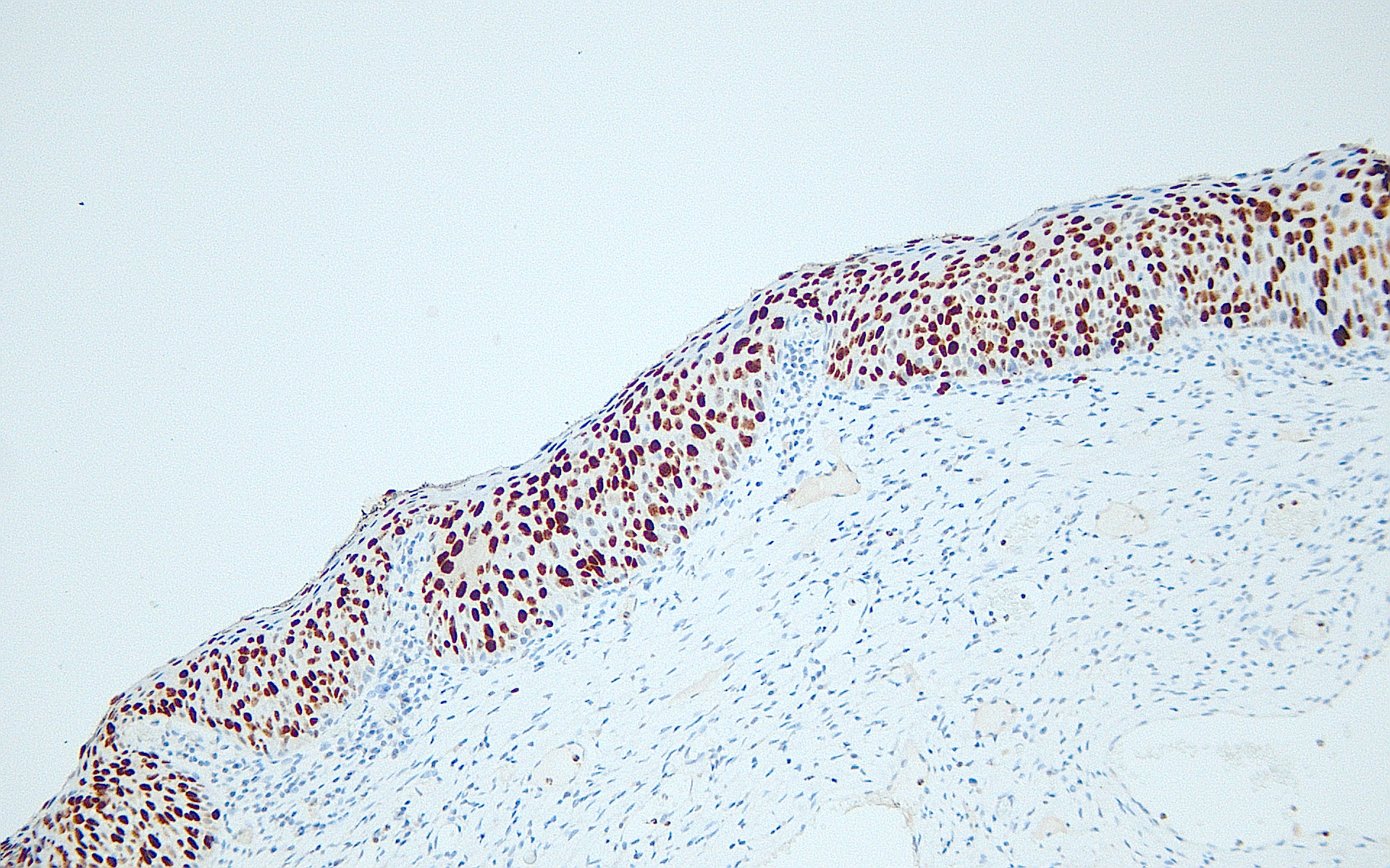
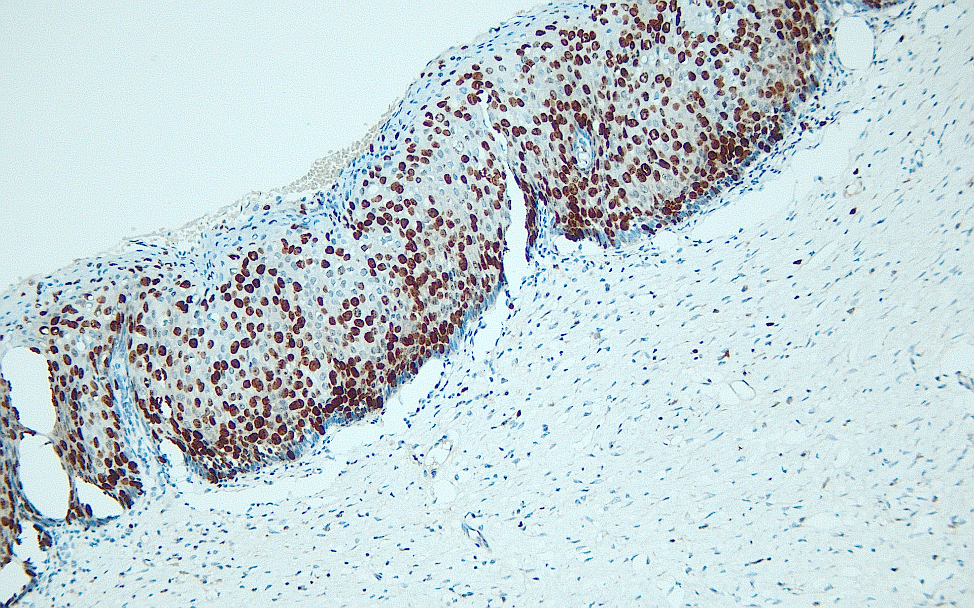
Anti-Ki-67

Rabbit clonal antibody

Product ID:DB 318 Category:IHC-P
Documents:Datasheet

Sale information

Catalog ID Volume Note
DB 318-RTU-7 7 ml
DB 318-RTU-15 15 ml
DB 318-1 1 ml
DB 318-0.5 500 μl
DB 318-0.2 200 μl
DB 318-0.1 100 μl

Technical information

Clone

M17-I

Buffer

20 mM Tris-HCl, pH 8.0

Stabilizer

20 mg/ml BSA

Protein accesion number / Uniprot

P46013

Preservative

0.05% NaN3

Specificity

Human

Immunogen

Synthetic peptide within N terminal sequence of human Ki-67. The exact sequence is proprietary.

Application

IHC-P, dilution 1:100

Gallery

DB-318-Ventanapng DB-318-Leicapng