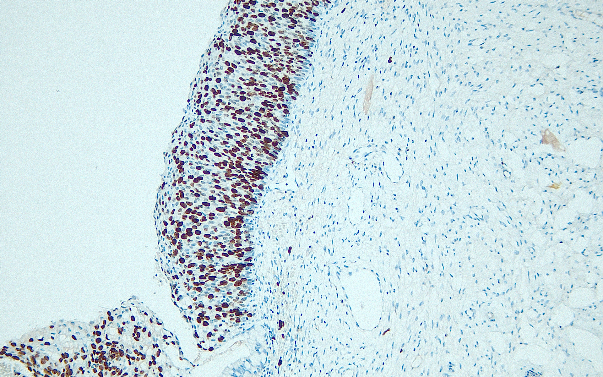
Anti-Ki-67

Mouse monoclonal antibody

Product ID:DB 317 Category:IHC-P
Documents:Datasheet

Sale information

Catalog ID Volume Note
DB 317-RTU-15 15 ml
DB 317-RTU-7 7 ml
DB 317-1 1 ml
DB 317-0.5 500 μl
DB 317-0.2 200 μl
DB 317-0.1 100 μl

Technical information

Clone

M25-Y

Buffer

20 mM Tris-HCl, pH 8.0

Stabilizer

20 mg/ml BSA

Protein accesion number / Uniprot

P46013

Preservative

0.05% NaN3

Specificity

Human

Immunogen

The immunogenic sequence is proprietary.

Application

IHC-P, dilution 1:100

Gallery

DB-317-Ventana-png DB-317-Leica-png