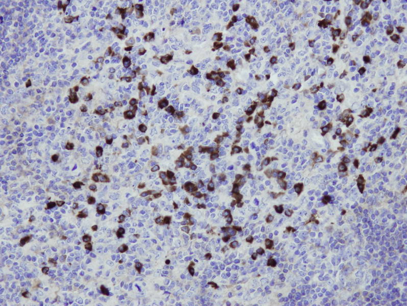
Anti-IgG

Rabbit clonal antibody

Product ID:DB 174 Category:IHC-P
Documents:Datasheet

Sale information

Catalog ID Volume Note
DB-174-0.1 100 μl
DB-174-0.2 200 μl
DB-174-0.5 500 μl
DB-174-1 1 ml
DB-174-RTU-7 7 ml ready to use
DB-174-RTU-15 15 ml ready to use

Technical information

Clone

I17-T

Buffer

20 mM Tris-HCl, pH 8.0

Stabilizer

20 mg/ml BSA

Protein accesion number / Uniprot

P01857, P01859, P01860, P01861

Preservative

0.05% NaN3

Specificity

human

Immunogen

Peptide derived from the domain close to the C-terminus of human IgG-1 chain C region

Application

IHC-P, dilution 1:100

Gallery

db-174