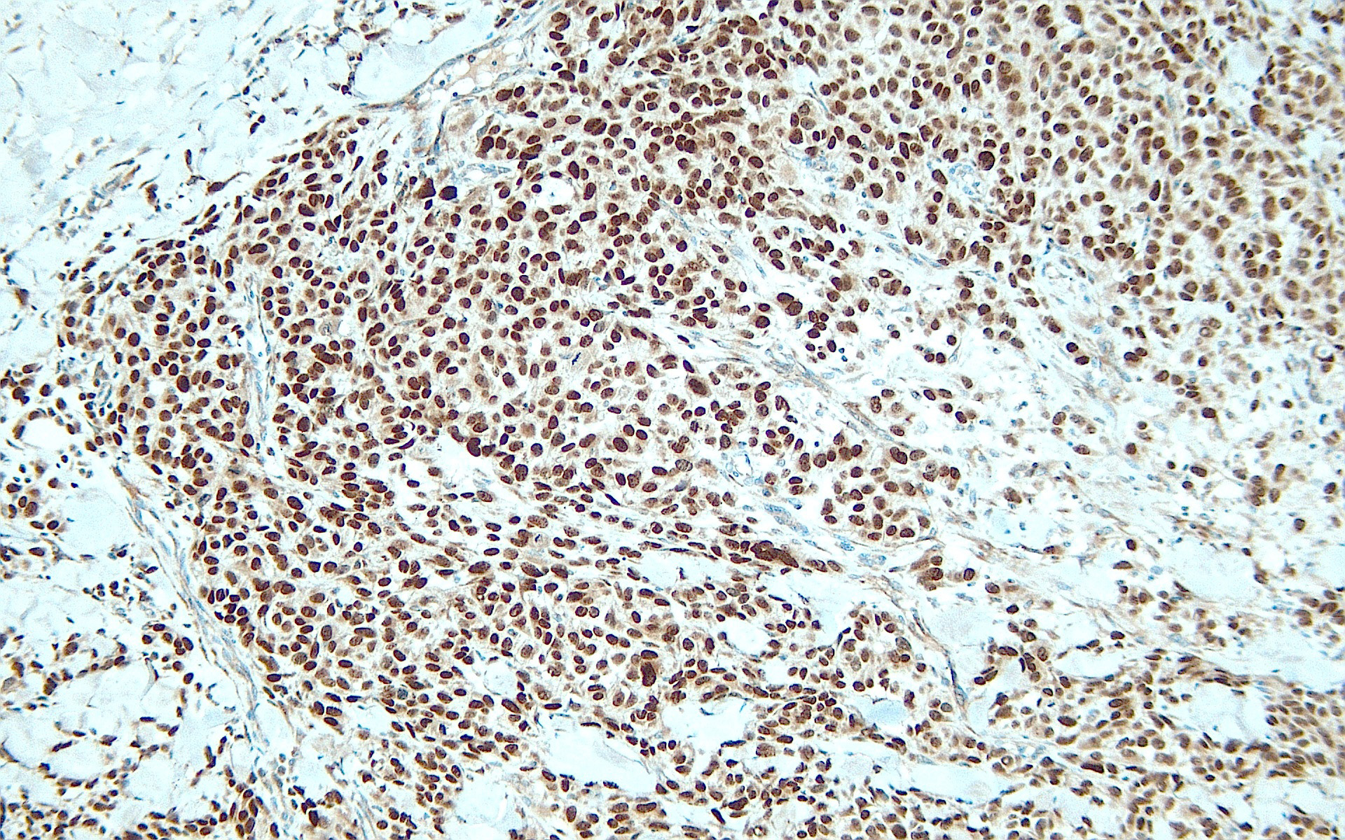
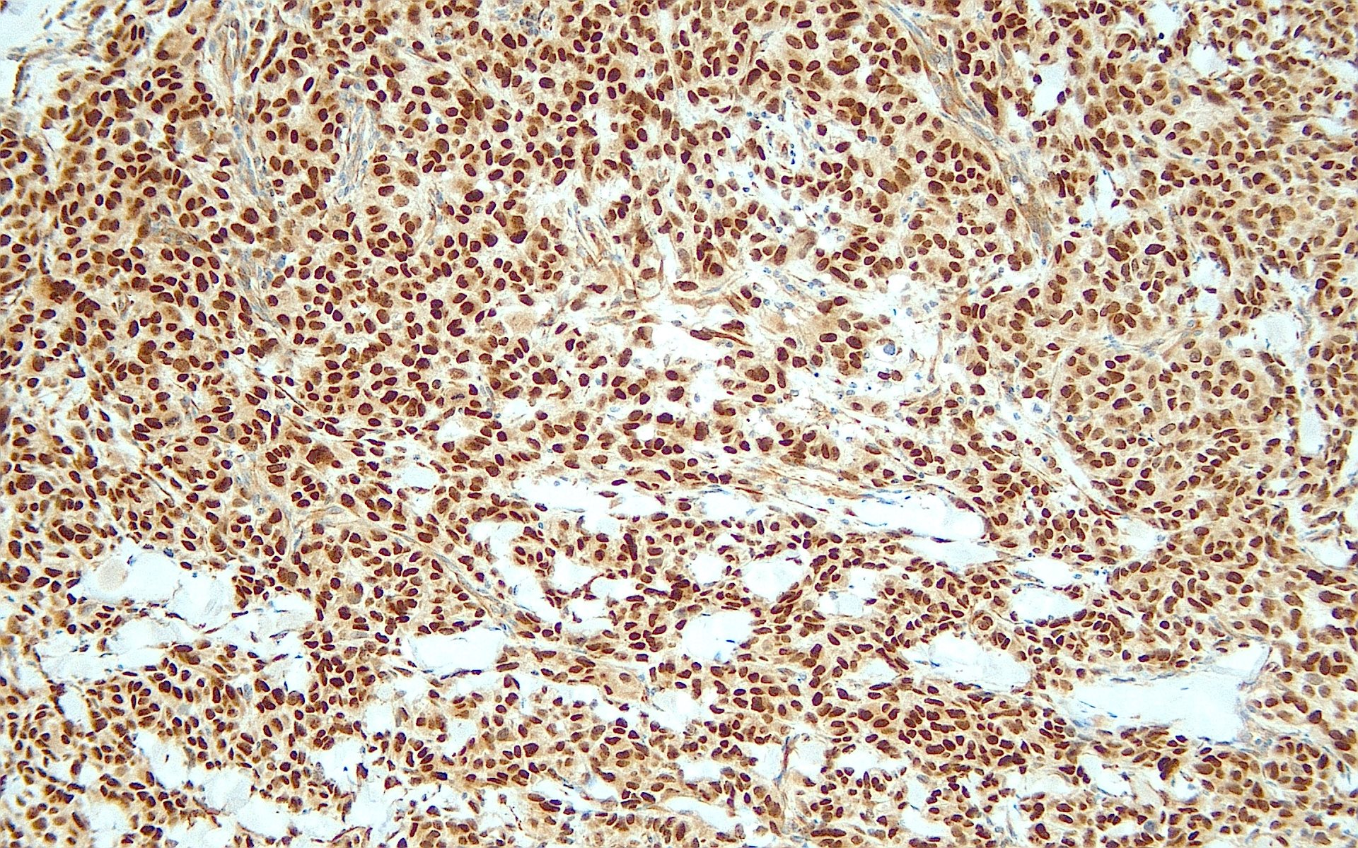
Anti-Human SOX10

Rabbit clonal antibody

Product ID:DB 260 Category:IHC-P
Documents:Datasheet
 

Sale information

Catalog ID Volume Note
DB 260-0.1 100 μl
DB 260-0.2 200 μl
DB 260-0.5 500 μl
DB 260-1 1 ml
DB 260-RTU-7 7 ml ready to use
DB 260-RTU-15 15 ml ready to use

Technical information

Clone

I25-T

Buffer

20 mM Tris-HCl, pH 8.0

Stabilizer

20 mg/ml BSA

Protein accesion number / Uniprot

P56693

Preservative

0.05% NaN3

Specificity

human

Immunogen

Peptide derived from C-terminal sequence of human SOX-10. Antibody recognizes the epitope between Ser440-Leu463.

Application

IHC-P, dilution 1:100

Gallery

obr-A obr-B