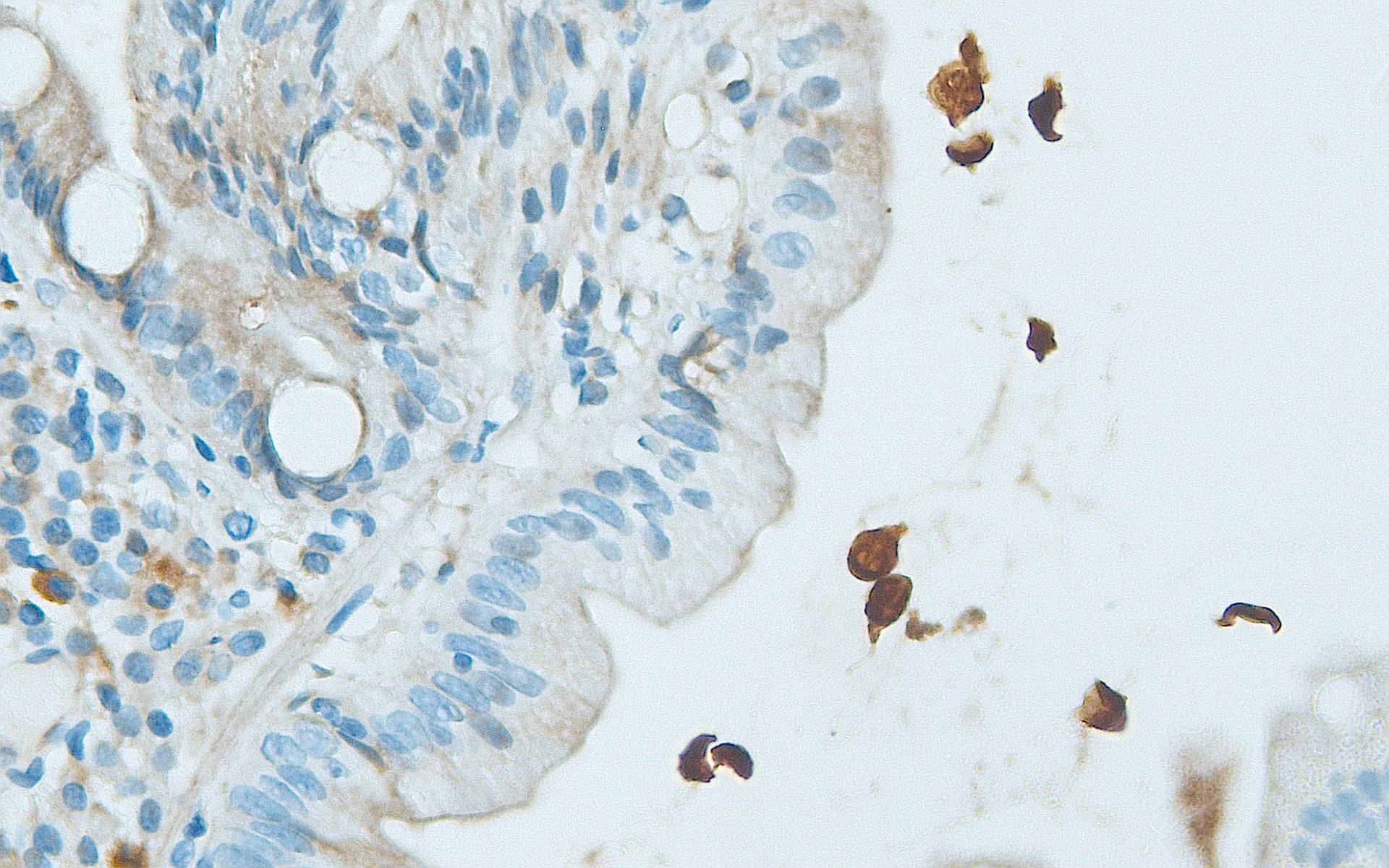
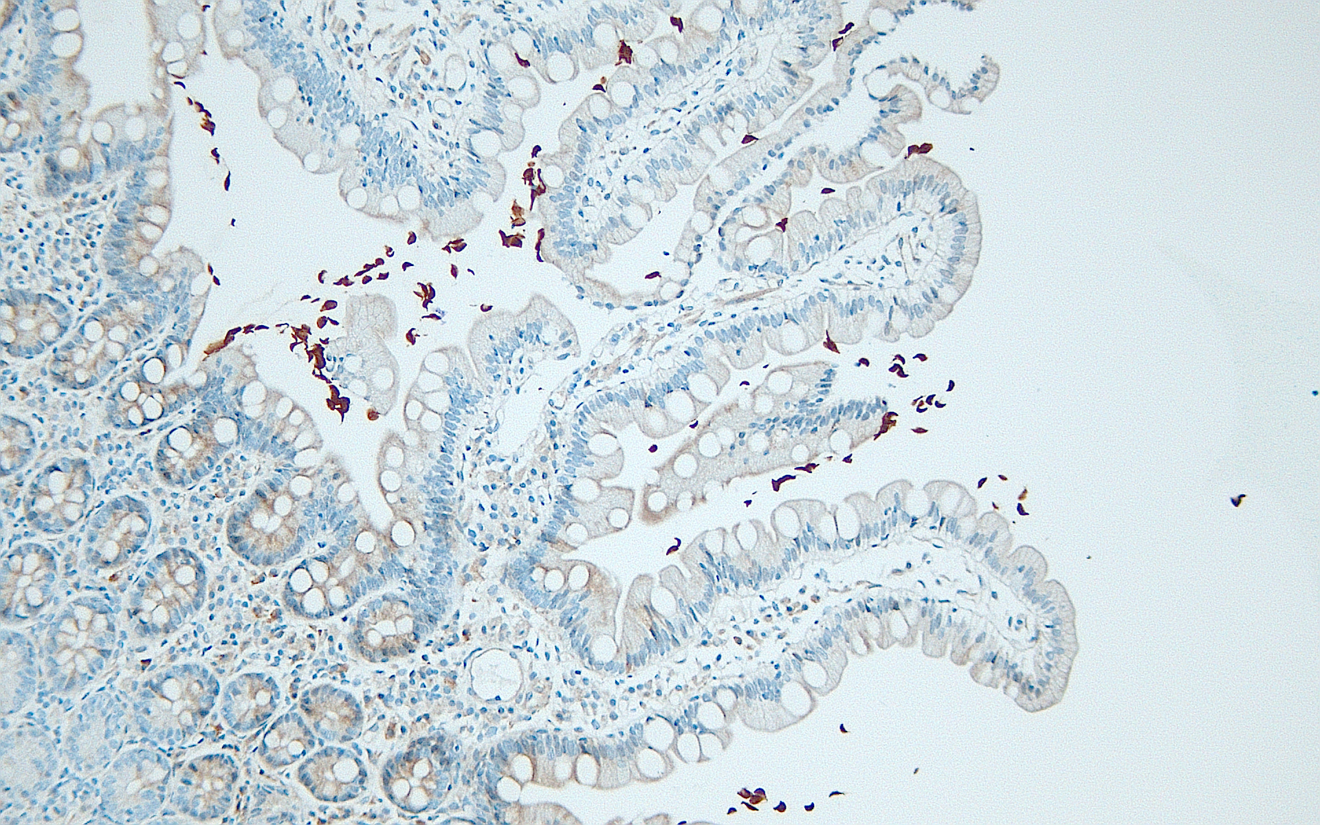
Anti-Giardin α-1

Rabbit clonal antibody

Product ID:DB 319 Category:IHC-P
Documents:Datasheet

Sale information

Catalog ID Volume Note
DB 319-RTU-7 7 ml
DB 319-RTU-15 15 ml
DB 319-0.1 100 μl
DB 319-0.2 200 μl
DB 319-0.5 500 μl
DB 319-1 1 ml

Technical information

Clone

D20-D

Buffer

20 mM Tris-HCl, pH 8.0

Stabilizer

20 mg/ml BSA

Protein accesion number / Uniprot

P17063

Preservative

0.05% NaN3

Specificity

Giardin subunit alpha-1

Immunogen

Peptide derived from internal region of Giardin subunit alpha-1 (sp. Giardia lamblia). Antibody recognizes the epitope between Asp157 – Asp176.

Application

IHC-P, dilution 1:100

Gallery

DB319--B DB319--A