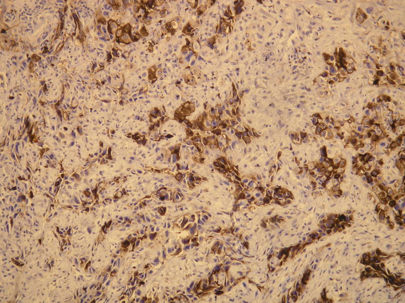
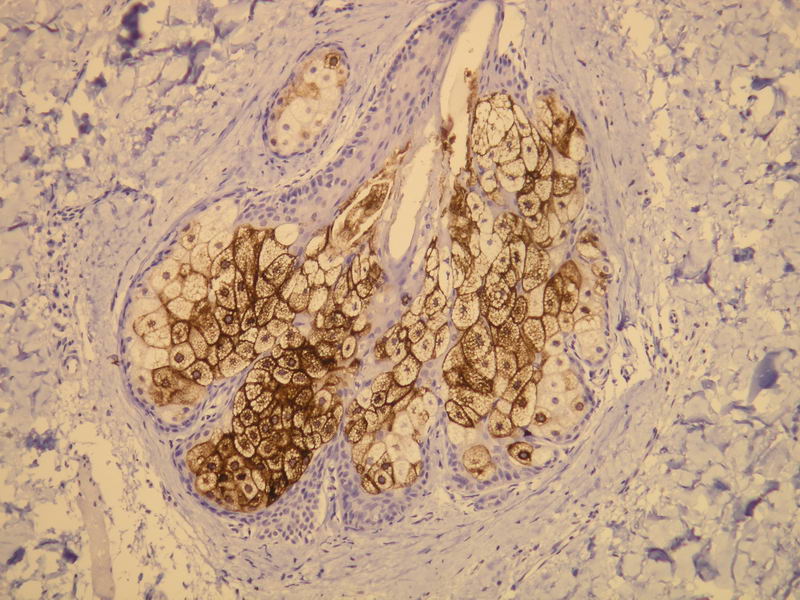
Anti-EMA (CD227, Mucin-1)

Rabbit clonal antibody

Product ID:DB 048 Category:IHC-P
Documents:Datasheet

Publications

Sale information

Catalog ID Volume Note
DB 048-0.1 100 μl
DB 048-0.2 200 μl
DB 048-0.5 500 μl
DB 048-1 1 ml
DB 048-RTU-7 7 ml ready to use
DB 048-RTU-15 15 ml ready to use

Technical information

Clone

G22-L

Buffer

20mM Tris-HCl, pH 8.0

Stabilizer

20mg/ml BSA

Protein accesion number / Uniprot

P15941

Preservative

0.05% NaN3

Specificity

Human

Immunogen

Peptide derived from C-terminal sequence of human Mucin-1

Application

IHC-P, dilution 1:100

Gallery

db048a db048b