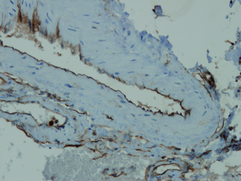
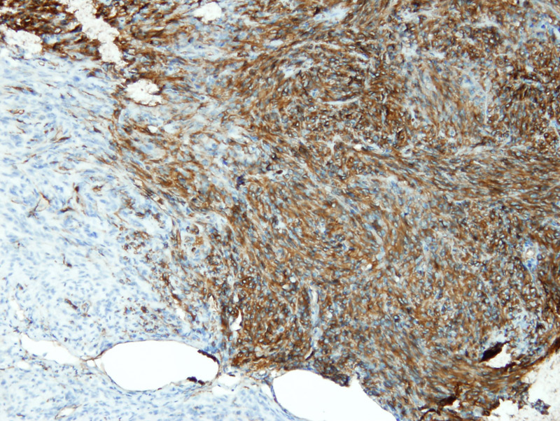
Anti-CD34

Rabbit clonal antibody

Product ID:DB 151 Category:IHC-P
Documents:Datasheet

Publications

Sale information

Catalog ID Volume Note
DB 151-0.1 100 μl
DB 151-0.2 200 μl
DB 151-0.5 500 μl
DB 151-1 1 ml
DB 151-RTU-7 7 ml ready to use
DB 151-RTU-15 15 ml ready to use

Technical information

Clone

Q19-E

Buffer

20 mM Tris-HCl, pH 8.0

Stabilizer

20 mg/ml BSA

Protein accesion number / Uniprot

P28906

Preservative

0.05% NaN3

Specificity

Human

Immunogen

Peptide derived from the N-terminal sequence of human CD34

Application

IHC-P, dilution 1:100

Gallery

db151a db151b