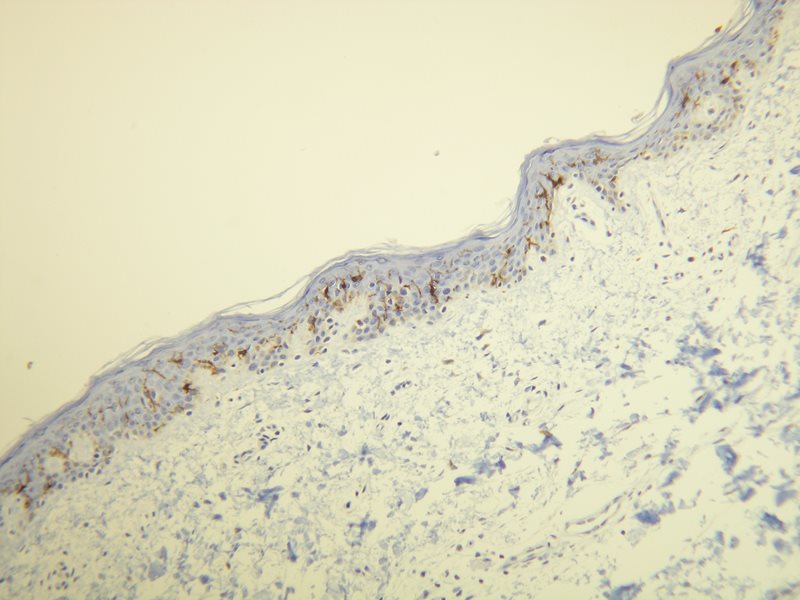
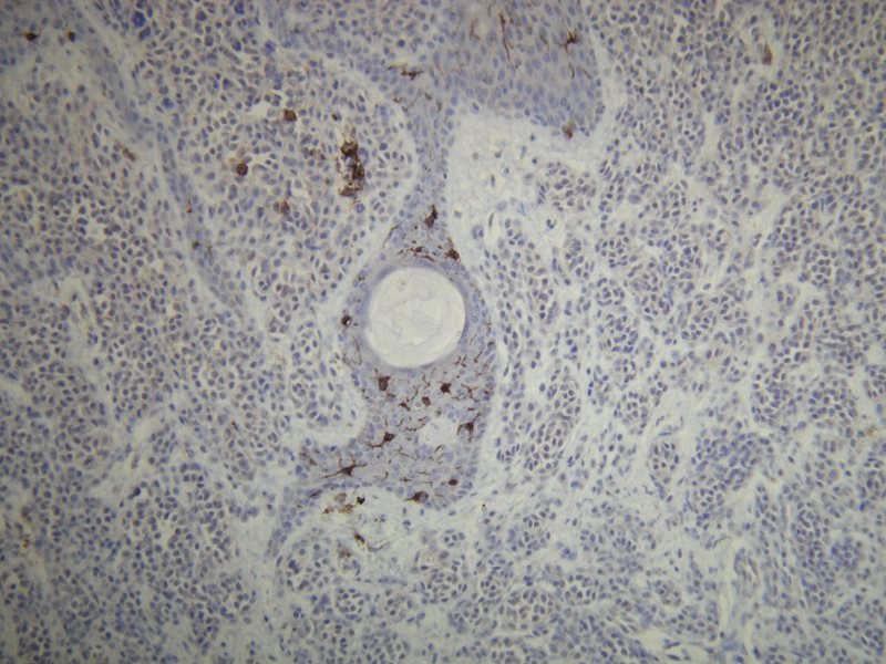
Anti-CD1a

Rabbit clonal antibody

Product ID:DB 071 Category:IHC-P
Documents:Datasheet

Sale information

Catalog ID Volume Note
DB 071-0.1 100 μl
DB 071-0.2 200 μl
DB 071-0.5 500 μl
DB 071-1 1 ml
DB 071-RTU-7 7 ml ready to use
DB 071-RTU-15 15 ml ready to use

Technical information

Clone

L21-A

Buffer

20mM Tris-HCl, pH 8.0

Stabilizer

20mg/ml BSA

Protein accesion number / Uniprot

P06126

Preservative

0.05% NaN3

Specificity

Human

Immunogen

Peptide derived from C-terminal region, near the transmembrane domain of human CD1-a

Application

IHC-P, dilution 1:100

Gallery

db071a db071b