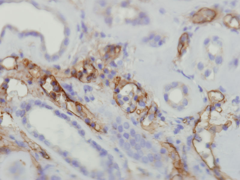
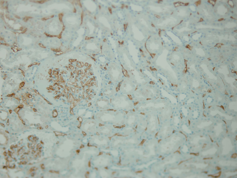
Anti-C4d complement

Rabbit clonal antibody

Product ID:DB 107 Category:IHC-P
Documents:Datasheet

Publications

Sale information

Catalog ID Volume Note
DB 107-0.1 100 μl
DB 107-0.2 200 μl
DB 107-0.5 500 μl
DB 107-1 1 ml
DB 107-RTU-7 7 ml ready to use
DB 107-RTU-15 15 ml ready to use

Technical information

Clone

A24-T

Buffer

20 mM Tris-HCl, pH 8.0

Stabilizer

20 mg/ml BSA

Protein accesion number / Uniprot

P0C0L4

Preservative

0.05% NaN3

Specificity

Human

Immunogen

Peptide derived from internal sequence of human C4

Application

IHC-P, dilution 1:100

Gallery

db107a db107b